  | 
      
      
        
          
             
            Yhteenveto 
            
            >>Kotona  
 
   >>Sijoituksessa 
      >>Aikaisemmat
sijoituskoirat
       >>Muistoissa  
     >>Yhteenveto 
	    
             
             
  
	      
            
            
              
                
                  | Omistamani suomenlapinkoirat (muiden kasvattamat) | 
                 
                
                  
        
          | Nimi | 
          Silmät | 
          Lonkat | 
          Kyynär- nivelet | 
          Polvet | 
          Sydän | 
          prcd- PRA | 
          Pompen tauti | 
          Jälkeläiset | 
          Muuta | 
         
        
          POHJ & FI & SE & NO MVA  Jäkäläkummun
	    Ensi-Lempi ♀ Oma sivu - KoiraNet | 
          OK  11/06 | 
          C/C | 
          - | 
          - | 
          - | 
          - | 
          Terve | 
          3 pentuetta/ 11 jälkeläistä | 
          - Poropaimennustesti hyväksytty
	    2002
 - Jalostustarkastettu
 - Nisäkasvaimia
	    leikattu 2005, 2008,
	    2011 (rauhastiehyen liikakasvu, tubulaarinen karsinooma)
 - Steriloitu
	    2005
 - Lopetettu 12/11 (14 v 11 kk iässä) vanhuuden vaivojen takia
 
  | 
         
        
          FI MVA Orso-Farm Qumina ♀ Oma
	    sivu - KoiraNet | 
          OK 04/07 | 
          B/A | 
          - | 
          - | 
          - | 
          Terve | 
          - | 
          2 pentuetta/ 4 jälkeläistä | 
           | 
         
	
          C.I.B & POHJ & FI & SE &
          NO & BALT & EE & LV & LT & RU & RKF
          & BY & RO & BG & BG GR & CY & GE & MD
          & MK & ME MVA BALT & EE & LV & LT VMVA JV-10 BYV-15  Shacal Rosmariini ♀ Oma
	    sivu - KoiraNet | 
          OK 12/15 | 
          B/C | 
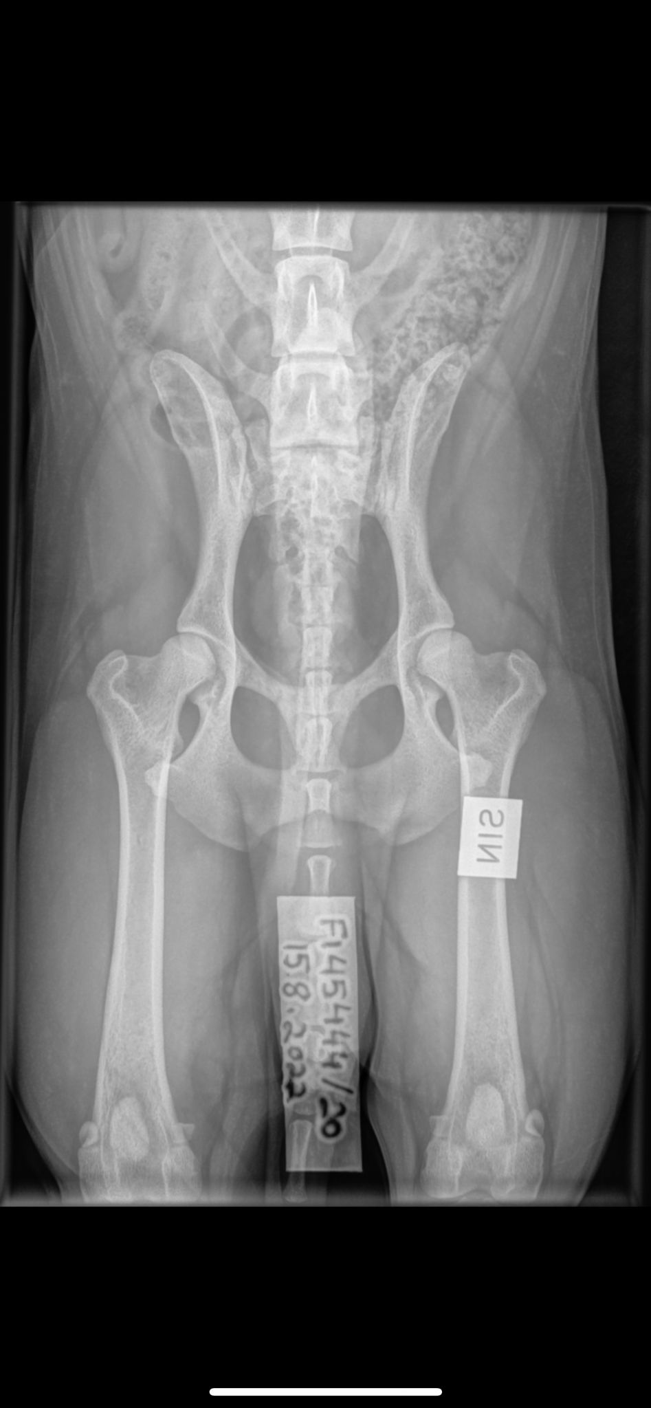
          0/0  (tieto- kone- tomo- grafia) | 
          0/0 | 
          Ei sivu- ääniä 12/15 | 
          Terve | 
          Terve | 
          1 pentue/ 5 jälkeläistä | 
          - Poropaimennustaipumustesti
          hyväksytty 2014
 - Kyynärkuvat 2011: vas./oik.
 - Kyynärkuvat 2012: vas./oik.
 - Napatyrä
 - Todettu struviiittikiteitä
          virtsatietulehduksen yhteydessä
 - Synnytyksen
          jälkeinen kohtutulehdus 08/13
 - Kohtutulehdus
          06/18, steriloitu
 - Neljä pientä hyvänlaatuista nisäkasvainta ja hyvänlaatuinen sidekudoskasvain reideltä leikattu 02/2023
 - Lopetettu 07/25 (15 v 11 kk iässä) vanhuuden vaivojen takia
 
  | 
         
	
          C.I.B & FI & SE & EE & LT & BY MVA BALT & EE & LV & LT & BY JMVA FI VMVA  
	    Lapinpeikon Namupala ♀ Oma sivu - KoiraNet | 
          OK 11/18 | 
          A/A | 
          0/0 | 
          0/0 | 
          Ei sivu- ääniä 03/17 | 
          Terve  vanh. perust. | 
          Terve | 
          2 pentuetta/ 7 jälkeläistä | 
          - Polveutuminen
          varmistettu
 - Poropaimennustaipumustesti 2014:
          suositellaan testattavaksi uudelleen
 - Jalostustarkastettu
 - Uveiitti
          (etukammiotulehdus) oikeassa silmässä 10/15
 - Degeneratiivinen myelopatia (DM): kantaja
 - Steriloitu 2020
 
  | 
         
	
          PAIM-T Pihlajamäen Aslan ♂ Oma sivu - KoiraNet | 
          OK 09/25 | 
          - | 
          - | 
          0/0 | 
          Ei sivu- ääniä 09/25 | 
          Kantaja  (epävir. tulos) | 
          Terve  vanh. perust. | 
          - | 
          - Degeneratiivinen myelopatia (DM): kantaja (epävirallinen Embark-tulos)
 - ift122-PRA: terve (epävirallinen Embark-tulos)
 - Canine multifocal retinopathy (CMR): terve (epävirallinen Embark-tulos)
 - Intestinaali lymfangiektasia eli lunnikoirasyndrooma: kantaja (epävirallinen Embark-tulos)
 - Geneettinen sukusiitosprosentti 0 % (Embark)
 - Perinteisen lammaspaimennuksen taipumuskoe hyväksytty 2024
 - Poropaimennustaipumustesti hyväksytty 2025
 - Luonnetesti +155 pistettä/laukausvarma
 
  | 
         
	
          Pippurimuorin Merituuli ♀ Oma sivu - KoiraNet | 
          - | 
          - | 
          - | 
          - | 
          - | 
          Kantaja | 
          Terve | 
          - | 
          - Degeneratiivinen myelopatia (DM): terve
 - Canine multifocal retinopathy (CMR): terve
 - Pieni rasvanapa, ei leikkaustarvetta
 
  | 
         
	
          Lapinlumon Xpertti ♂ Oma sivu - KoiraNet | 
          - | 
          - | 
          - | 
          - | 
          - | 
          Terve  vanh. perust. | 
          - | 
          - | 
           | 
         
	
          Katajavaaran Agalas ♀ Oma sivu - KoiraNet | 
          - | 
          - | 
          - | 
          - | 
          - | 
          Terve  vanh. perust. | 
          Terve  vanh. perust. | 
          - | 
          - Degeneratiivinen myelopatia (DM): terve vanhempien perusteella
 
  | 
         
                        
 | 
                 
              
             
             
             
            
              
                
                  | Aikaisemmat sijoituskoirat (muiden kasvattamat) | 
                 
                
                  
        
          | Nimi | 
          Silmät | 
          Lonkat | 
          Kyynär- nivelet | 
          Polvet | 
          Sydän | 
          prcd- PRA | 
          Pompen tauti | 
          Jälkeläiset | 
          Muuta | 
         
        
          Jäkäläkummun Davvenieida ♀ Oma
	    sivu - KoiraNet | 
          OK 01/05 | 
          A/A | 
          - | 
          - | 
          - | 
          - | 
          - | 
          1 pentue/ 7 jälkeläistä | 
            | 
         
	
          BH Lapinlumon Aarni ♂ Oma sivu - KoiraNet | 
          OK 07/13 | 
          B/B | 
          0/0 | 
          0/0 | 
          Ei sivu- ääniä 02/09 | 
          Terve | 
          - | 
          - | 
          - Tanskan tuonti
 - Panosteiittiä kasvuiässä
 - Poropaimennustesti
	  hylätty 2010 (ei haukkunut eikä osoittanut tarpeeksi
	  kiinnostusta poroihin)
 - Jalostustarkastettu
 - Genoscoperin DNA-tunniste D18040
 - Todennäköisesti
	  steriili (kahden sperma-analyysin
        perusteella)
 - Eosinofiilinen
	  granulooma
 - Lopetettu 06/17 (9 v 6 kk iässä)
 
  | 
         
	
          Lapinlumon Giedderassa ♂ Oma sivu - KoiraNet | 
          OK 12/12 | 
          C/C | 
          0/0 | 
          0/0 | 
          Ei sivu- ääniä 09/10 | 
          Kan- taja  jälk. perust. | 
          - | 
          3 pentuetta/ 15 jälkeläistä | 
          - Tanskan tuonti
 - Iris-iris PPM (09/10), viimeisin
          silmätarkastus terve (12/12)
 - Genoscoperin DNA-tunniste D18041
 - Kastroitu
 - Lopetettu 12/22 (14 v iässä)
 
  | 
         
	 
          Jäkäläkummun Cumminkaima ♀ Oma
          sivu - KoiraNet | 
          - | 
          C/C | 
          0/0 | 
          - | 
          - | 
          Terve  vanh. perust. | 
          - | 
          - | 
          - Epileptisiä kohtauksia
 - Steriloitu
 - Lopetettu 05/21 (10 v 7 kk iässä)
 
  | 
         
	 
          FI MVA Suopunkitytön  Ihana Valo ♀ Oma sivu - KoiraNet | 
          OK 03/18 | 
          B/B | 
          0/0 | 
          0/0 | 
          Ei sivu- ääniä 02/14 | 
          Terve | 
          Terve | 
          3 pentuetta/ 12 jälkeläistä | 
          - Virheasentoinen
          yläkulmahammas (kuva 1, kuva 2) - pentukulmahammas ei irronnut
          itsestään ja poistettiin liian
          myöhään pysyvän hampaan
          alta
 - Panosteiittioireita
          kasvuiässä
 - Degeneratiivinen myelopatia
          (DM): kantaja
 - Steriloitu 2019
 - Lopetettu 11/24 (12 v 10 kk iässä) vanhuuden vaivojen takia
 
  | 
         
	
          FI & BY MVA Jäkäläkummun Yliveto ♀ Oma sivu - KoiraNet | 
          OK 12/17 | 
          C/C | 
          0/0 | 
          0/0 | 
          Ei sivu- ääniä 12/15 | 
          Terve | 
          Terve | 
          - | 
          - Poropaimennustaipumustesti
	    hyväksytty (kunniapalkinto) 2015
 - Luonnetesti +108 pistettä/laukausvarma (videot YouTubessa: 1, 2, 3)
 - Degeneratiivinen myelopatia (DM): terve
 
  | 
         
	
          Savumerkin Papu ♀ Oma sivu - KoiraNet | 
          OK 11/15 | 
          A/A | 
          0/0 | 
          0/0 | 
          Ei sivu- ääniä 11/15 | 
          Terve  vanh. perust. | 
          Terve | 
          1 pentue/ 3 jälkeläistä | 
          - Steriloitu kohtuun kuolleen pennun aiheuttaman tulehduksen takia
 - Degeneratiivinen
	    myelopatia (DM): kantaja jälkeläistensä ja
	    emänsä geenitestitulosten perusteella
 
  | 
         
	
          Peppiinan Kuunkerttu ♀ Oma sivu - KoiraNet | 
          OK 11/23 | 
          B/B | 
          0/0 | 
          0/0 | 
          Ei sivu- ääniä 11/23 | 
          Terve  vanh. perust. | 
          Terve  vanh. perust. | 
          1 pentue/ 5 jälkeläistä | 
          - Degeneratiivinen myelopatia (DM):
	    terve vanhempien perusteella
 - Yksi P3-hammas ylhäältä puuttuu
 - Välimuotoinen
  lanne-ristinikama LTV0 (normaali)
 
- Nikamien epämuotoisuus VA0 (normaali)
 - Selkäkuvat: 1, 2 ja 3
 - Gonioskopia: ei todettu kammiokulman poikkeavuuksia (11/23)
 
  | 
         
	
          Jäätuulen Balladi Elämästä ♀ Oma sivu - KoiraNet | 
          - | 
          D/C | 
          0/0 | 
          - | 
          - | 
          - | 
          Terve  vanh. perust. | 
          - | 
          - Välimuotoinen
  lanne-ristinikama LTV0 (normaali)
 - Nikamien epämuotoisuus VA0 (normaali)
 - Selkäkuvat: 1, 2 ja 3
 - Olkanivelten osteokondroosi: Ei todettu/Ei todettu
 
  | 
         
       
  | 
                 
              
             
             
             
            
              
                
                  | Suomenlapinkoirakasvatit pentueittain | 
                 
                
                  
S-pentue (synt. 12.6.2001)Valitsin Miskan Lempin
	  toisen pentueen (ensimmäinen pentue oli sijoituspentue
	  Jäkäläkummun-kenneliin) isäksi sen
	  rotutyypin ja sukutaulun perusteella. Pentueeseen syntyi
	  neljän rekisteröidyn pennun lisäksi yksi
	  pentu, jolla oli kitalakihalkio. Sillä ei ollut
	  häntää eikä peräaukkoa, ja se
	  lopetettiin saman tien. Pentueessa oli paljon erilaisia
	  terveysongelmia, joiden alkuperä ei koskaan
	  selvinnyt. Ainoastaan yksi pennuista eli normaalipituisen
	  elämän suhteellisen terveenä. Tästä pentueesta
	  ei tullut jatkoa ja hyvä niin. 
         
          | Nimi | 
          Silmät | 
          Lonkat | 
          Kyynär- nivelet | 
          Polvet | 
          Sydän | 
          prcd- PRA | 
          Pompen tauti | 
          Jälkeläiset | 
          Muuta | 
         
        
          i. Fidelis Miska KoiraNet | 
          PPM: diag- noosi avoin 12/06 | 
          B/B | 
          - | 
          - | 
          - | 
          - | 
          - | 
          4 pentuetta/ 16 jälkeläistä | 
            | 
         
	
          e. POHJ & FI & SE & NO MVA Jäkäläkummun 
	    Ensi-Lempi Oma sivu - KoiraNet | 
          OK  11/06 | 
          C/C | 
          - | 
          - | 
          - | 
          - | 
          Terve | 
          3 pentuetta/ 11 jälkeläistä | 
          - Poropaimennustesti hyväksytty
	    2002
 - Jalostustarkastettu
 - Nisäkasvaimia
	    leikattu 2005, 2008,
	    2011 (rauhastiehyen liikakasvu, tubulaarinen karsinooma)
 - Steriloitu
	    2005
 - Lopetettu 12/11 (14 v 11 kk iässä)
 
  | 
         
		
          Cantavia Santeli ♂ Oma sivu - KoiraNet | 
          - | 
          - | 
          - | 
          - | 
          - | 
          - | 
          - | 
          - | 
          - Lopetettu 09/01 (3 kk iässä)
 
  | 
         
        
          Cantavia Sahrami ♀ Oma sivu - KoiraNet | 
          - | 
          - | 
          - | 
          - | 
          - | 
          - | 
          - | 
          - | 
          - Tasapurenta
 - Tulehduksia
	  kuonon ja suun alueella (ikenissä, limakalvoilla,
	  kielessä), patologinen lausunto: eosinofiilinen
	  granulomaattinen tulehdus
	  (nonneoplastinen)
 - Lopetettu 06/02 (1 v iässä)
 
  | 
         
        
          Cantavia Seesami ♀ Oma sivu - KoiraNet | 
          - | 
          - | 
          - | 
          - | 
          - | 
          - | 
          - | 
          - | 
          - Kuollut 03/14 (12 v 9 kk
	    iässä)
 - Useita virtsatietulehduksia
	    elämänsä aikana. Virtsatiet ultrattu
	    normaaleiksi nuorena. Vanhuuden vaivoina painonnousu,
	    rohiseva hengitys nukkuessa, nesteen keräytyminen
	    ja verivirtsaisuus. Sokerikokeet puhtaat.
 
  | 
         
	
          Cantavia Sinipiika ♀ Oma sivu - KoiraNet | 
          - | 
          - | 
          - | 
          - | 
          - | 
          - | 
          - | 
          - | 
          - Suolitulehdus ja ruoan imeytymishäiriö,
	    jonka vuoksi jäi kooltaan huomattavasti keskikokoa pienemmäksi
 
	    - Kuoli ilmeisesti sydämenpysähdykseen 08/03 (2 v 2
	    kk iässä)
 
  | 
         
       
  | 
                 
              
             
             
             
            
              
                
                  
L-pentue (synt. 1.8.2004)Orso-Farm Dielku eli Tilkku valikoitui Hertan sulhaseksi mielenkiintoisen
	  sukutaulunsa vuoksi, ja siihen aikaan myös näytti siltä, ettei
	  Tilkun isästä Rurrusta olisi
	  jäämässä kovin paljoa jalostusmateriaalia
	  jatkoon ainakaan Suomen puolelle (sittemmin Tilkulle tuli
	  lisää pentueita). Kahden rekisteröidyn yksilön
	  lisäksi pentueeseen syntyi kolmaskin pentu, jolla oli
	  syntyessään suolet osittain ulkona navan kohdalta
	  ja se lopetettiin heti. Pentueesta on paljon jatkoa
	  sekä Suomessa
	  että eri puolilla Eurooppaa Leijonamielen
	  jälkeläisten muodossa. Sijoitukseen
	  jättämäni Lounatuuli ei sen sijaan valitettavasti
	  koskaan tullut kantavaksi. 
         
          | Nimi | 
          Silmät | 
          Lonkat | 
          Kyynär- nivelet | 
          Polvet | 
          Sydän | 
          prcd- PRA | 
          Pompen tauti | 
          Jälkeläiset | 
          Muuta | 
         
	
                    i. Orso-Farm Dielku KoiraNet | 
          OK 02/08 | 
          A/A | 
          - | 
          - | 
          - | 
          Terve | 
          - | 
          9 pentuetta/ 34 jälkeläistä | 
            | 
         
	
          e. FI MVA Orso-Farm Qumina Oma
	    sivu - KoiraNet | 
          OK 04/07 | 
          B/A | 
          - | 
          - | 
          - | 
          Terve | 
          - | 
          2 pentuetta/ 4 jälkeläistä | 
           | 
         
	
          FI MVA Cantavia Leijonamieli ♂ Oma sivu - KoiraNet | 
          OK 04/09 | 
          B/B | 
          - | 
          - | 
          - | 
          Terve | 
          - | 
          8 pentuetta/ 42 jälkeläistä
  | 
          - Luonnetesti +140 pistettä/laukausvarma
 - Finnzymesin DNA-tunniste DNA-T18887
 - Pentueita Suomen
  lisäksi Tanskassa, Norjassa, Englannissa ja Alankomaissa
 - Kastroitu
  eturauhasen liikakasvun takia
 - Lopetettu 08/17 (13 v iässä)
 
  | 
         
	 
          C.I.B & FI & EE MVA
	    TK2 Cantavia Lounatuuli ♀ Oma sivu - KoiraNet | 
          OK 03/08 | 
          C/C | 
          0/0 | 
          0/0 | 
          - | 
          Terve | 
          - | 
          - | 
           | 
         
       
  | 
                 
              
             
             
             
            
              
                
                  
T-pentue (synt. 22.11.2005)Olin
	  nähnyt Lempin veljen Jäkäläkummun
	  Esim-Erkin ja Jennin pennut jo alle
	  luovutusikäisinä ja ihastuin niihin silloin
	  ikihyviksi. Yritin käyttää yhtä
	  veljeksistä (Tupu) Hertalle, mutta Hertta oli kovin
	  vaikea saada kantavaksi eikä pentuja
	  tullut. Kun sain Fidelis Unikon eli Oonan jalostuslainaan
	  ystäviltäni, oli tämä veljessarja
	  kirkkaana mielessäni ja käännyin
	  tällä kertaa Lupun eli Pupen
	  puoleen. Harmillisesti prcd-PRA -testiä ei ollut
	  vielä olemassa kun tätä pentuetta
	  suunniteltiin (se tuli kaupallisesti saataville pentujen
	  ollessa muutaman viikon ikäisiä) ja sijoitukseen
	  jättämäni Doris osoittautui prcd-PRA -sairaaksi. Pentueesta on jatkoa vain Keski-Euroopassa. 
         
          | Nimi | 
          Silmät | 
          Lonkat | 
          Kyynär- nivelet | 
          Polvet | 
          Sydän | 
          prcd- PRA | 
          Pompen tauti | 
          Jälkeläiset | 
          Muuta | 
         
          
          i. FI MVA Lupu KoiraNet | 
          OK 05/11 | 
          B/A | 
          - | 
          - | 
          - | 
          Kan- taja  jälk. perust. | 
          - | 
          2 pentuetta/ 10 jälkeläistä | 
            | 
         
	
          e. Fidelis Unikko KoiraNet | 
          OK 12/08 | 
          B/B | 
          - | 
          - | 
          - | 
          Kan- taja  jälk. perust. | 
          - | 
          3 pentuetta/ 15 jälkeläistä | 
          - Poropaimennustesti hyväksytty 2004
 - Lopetettu 07/16 (15 v 9 kk iässä)
 
  | 
         
		
          BE MVA Cantavia Timjami ♂ Oma sivu - KoiraNet | 
          OK 2013 | 
          B/B | 
          - | 
          - | 
          - | 
          - | 
          - | 
          6 pentuetta/ 26 jälkeläistä | 
          - Viety Belgiaan
 - Lopetettu
	  06/17 (11 v 7 kk iässä)
 
  | 
         
	
          Cantavia Timotei ♂ Oma sivu - KoiraNet | 
          OK 05/14 | 
          C/C | 
          - | 
          - | 
          - | 
          - | 
          - | 
          - | 
          - Perianaaliadenooma
 - Kastroitu
 - Nivelrikkoa
 - Diabetes
 - Lopetettu
	  11/19 (13 v 11 kk iässä)
 
  | 
         
	
          Cantavia Tuhatkauno ♀ Oma sivu - KoiraNet | 
          - | 
          - | 
          - | 
          - | 
          - | 
          - | 
          - | 
          - | 
            | 
         
	
          Cantavia Tupasvilla ♀ Oma sivu - KoiraNet | 
          PRA 03/10 | 
          - | 
          - | 
          - | 
          - | 
          Sairas | 
          - | 
          - | 
          - Jätetty pois jalostuksesta
  PRA-statuksen takia
 - Steriloitu
 - Nisäkasvaimia
          2015
 - Korkeat maksa-arvot (mahdollinen maksan alueen kasvain) 12/15
 - Lopetettu
	  10/19 (13 v 11 kk iässä)
 
  | 
         
        
  | 
                 
              
             
             
             
            
              
                
                  
K-pentue (synt. 18.8.2006)Olin
	  ostanut ja sijoittanut Ronjan, kun alkoi
	  näyttää siltä, että en saisi
	  Lempistä jatkoa kasvatustyölleni. L-pentueen
	  Leijonamieli eli Jeppe
	  osoittautui ihastuttavaksi yksilöksi, joten olin
	  iloinen, että minulla sattui olemaan sille sopiva narttu
	  sijoituksessa (etenkin kun Jepen pentuesisaren Lounatuulen
	  kantavaksi saaminen osoittautui myöhemmin mahdottomaksi). Narttulinja
	  tyssäsi siihen, että Ronjan ainoa narttupentu
	  Kesäheinä sai vain yhden ainoan
	  urospennun, mutta Kodinonni on
	  jatkanut pentueen perimää omalta osaltaan, kuten
		    myös Kesäheinän
		    urosjälkeläinen Filttihattu. 
         
          | Nimi | 
          Silmät | 
          Lonkat | 
          Kyynär- nivelet | 
          Polvet | 
          Sydän | 
          prcd- PRA | 
          Pompen tauti | 
          Jälkeläiset | 
          Muuta | 
         
        
          i. FI MVA Cantavia Leijonamieli Oma sivu - KoiraNet | 
          OK 04/09 | 
          B/B | 
          - | 
          - | 
          - | 
          Terve | 
          - | 
          8 pentuetta/ 42 jälkeläistä
  | 
          - Luonnetesti +140 pistettä/laukausvarma
 - Finnzymesin DNA-tunniste DNA-T18887
 - Pentueita Suomen
  lisäksi Tanskassa, Norjassa, Englannissa ja Alankomaissa
 - Kastroitu
  eturauhasen liikakasvun takia
 - Lopetettu 08/17 (13 v iässä)
 
  | 
         
        
          e. Jäkäläkummun Davvenieida Oma
	    sivu - KoiraNet | 
          OK 01/05 | 
          A/A | 
          - | 
          - | 
          - | 
          - | 
          - | 
          1 pentue/ 7 jälkeläistä | 
            | 
         
	
          Cantavia Kaihomieli ♂ Oma sivu - KoiraNet | 
          - | 
          - | 
          - | 
          - | 
          - | 
          - | 
          - | 
          - | 
          - Kuollut 07/21 (14 v 10 kk iässä)
 
  | 
         
	
          Cantavia Kanelikorppu ♂ Oma sivu - KoiraNet | 
          - | 
          E/E | 
          1/1 | 
          - | 
          - | 
          - | 
          - | 
          - | 
            | 
         
	
          C.I.B & POHJ & FI & SE &
  NO & BALT & EE & LV & LT & RU & RKF & BY
  & RO & RO GR & BG & BG GR & CY & GE & MD & MK & ME MVA  Cantavia Kodinonni ♂ Oma sivu - KoiraNet | 
          Muu vähä- merk. kaihi 07/18 | 
          B/B | 
          0/0 | 
          0/0 | 
          - | 
          Terve | 
          Terve | 
          7 pentuetta/ 33 jälkeläistä | 
           | 
         
	
          Cantavia Kommervenkki ♂ Oma sivu - KoiraNet | 
          - | 
          - | 
          - | 
          - | 
          - | 
          - | 
          - | 
          - | 
          - Kastroitu
 - Lopetettu 05/16
	  (9 v 9 kk iässä): tassunpohjissa tulehdusta, sen
	  jälkeen laihtui rajusti ja yleinen vointi
	  heikkeni. Vaiva ei selvinnyt verikokeista ja vointi huononi nopeasti.
 
  | 
         
	
          Cantavia Kuuraparta ♂ Oma sivu - KoiraNet | 
          - | 
          - | 
          - | 
          - | 
          - | 
          - | 
          - | 
          - | 
          - Lopetettu 02/07 (6 kk iässä),
	    terveysongelmien syy ei selvinnyt
 
  | 
         
	
          Cantavia Kylkimyyry ♂ Oma sivu - KoiraNet | 
          - | 
          - | 
          - | 
          - | 
          - | 
          - | 
          - | 
          - | 
          - Napatyrä
 - Kastroitu takapään
  kasvaimen takia
 - Lopetettu 04/20 (13 v 8 kk iässä): oireili vanhuuden vaivoja voimakkaasti; mahdollisesti kasvaimia, jotka olivat levinneet
 
  | 
         
	
          BH TK2 Cantavia Kesäheinä ♀ Oma
  sivu - KoiraNet | 
          OK 12/13 (seniili väri- kalvon rap- peuma) | 
          B/B | 
          0/0 | 
          1/0 (ks. Muuta) | 
          - | 
          Terve | 
          - | 
          1 pentue/ 1 jälkeläinen | 
          - Poropaimennustesti hyväksytty
  2008
 - Luonnetesti +114 pistettä/laukausvarma
 - Vasen polvi leikattu puuttuvan telauran takia
  (1. polvitarkastus 11/07: 2/0 (mediaalinen polvilumpioluksaatio), 2. polvitarkastus 07/08: 1/0
	    (lateraalinen polvilumpioluksaatio))
 - Steriloitu
 - Todennäköisesti heikkoutta
	    vatsanpeitteissä - kehitti
	    napatyrän 8-vuotiaana (!)
 - 
Lopetettu 07/20 (13 v 11 kk iässä)
 
  | 
         
       
  | 
                 
              
             
             
             
            
              
                
                  
M-pentue (synt. 1.7.2007)Äärimmäisen iloinen ja hyväntuulinen
	  Lapinlumon Lapinloru eli Mimmi
	  tuli minulle lainaan Tanskasta. Halusin astuttaa sen
	  yhtä iloisella ja hyväntuulisella
	  Jäkäläkummun Jänkäjustuksella eli Robbiella,
	  jonka olin tuntenut pennusta saakka. Tämänkin
	  pentueen narttulinja katkesi heti alkuunsa, kun sijoitukseen
	laittamastani Miinasta jäi ainoastaan kaksi urosjälkeläistä. 
         
          | Nimi | 
          Silmät | 
          Lonkat | 
          Kyynär- nivelet | 
          Polvet | 
          Sydän | 
          prcd- PRA | 
          Pompen tauti | 
          Jälkeläiset | 
          Muuta | 
         
        
          i. Jäkäläkummun Jänkäjustus KoiraNet | 
          OK 03/11 | 
          A/A | 
          - | 
          - | 
          - | 
          Terve | 
          - | 
          4 pentuetta/ 17 jälkeläistä | 
           | 
         
	
          e. POHJ & FI & DK & SE MVA KLB CH Lapinlumon Lapinloru KoiraNet | 
          OK 01/10 | 
          C/C | 
          - | 
          - | 
          - | 
          Terve | 
          - | 
          4 pentuetta/ 20 jälkeläistä | 
            | 
         
	
          Cantavia Maahinen ♂ Oma sivu - KoiraNet - Dutch Dog Data | 
          - | 
          - | 
          - | 
          - | 
          - | 
          Terve  vanh. perust. | 
          - | 
          - | 
           | 
         
	
          Cantavia Maitopoika ♂ Oma sivu - KoiraNet | 
          - | 
          - | 
          - | 
          - | 
          - | 
          Terve  vanh. perust. | 
          - | 
          - | 
          - Kivesvikainen
 - Lopetettu
	  04/16 (8 v 9 kk iässä), mahdollinen kivessyöpä
 
  | 
         
	
          Cantavia Menninkäinen ♂ Oma sivu - KoiraNet | 
          - | 
          - | 
          - | 
          - | 
          - | 
          Terve  vanh. perust. | 
          - | 
          - | 
          - Kuollut 08/21 (14 v 1 kk iässä)
 
  | 
         
	
          Cantavia Muskottipähkinä ♂ Oma sivu - KoiraNet | 
          - | 
          - | 
          - | 
          - | 
          - | 
          Terve  vanh. perust. | 
          - | 
          - | 
          - Lopetettu 03/18 (10 v 8 kk iässä)
 
  | 
         
	
          POHJ & FI & SE & NO MVA  Cantavia Mustikkamaito ♂ Oma sivu - KoiraNet | 
          OK 04/09 | 
          C/C | 
          0/0 | 
          0/0 | 
          - | 
          Terve  vanh. perust. | 
          - | 
          - | 
          - Allerginen useille kasveille, sienille, ruoka-aineille, kissan epiteelille, 
marsulle sekä pöly- ja varastopunkille
 - Kilpirauhasen
vajaatoiminta (todettu 06/16)
 - Yksi välihammas
  puuttuu
 - Kastroitu
 - Menehtyi maksan alueen kasvaimiin
  12/16 (9 v 5 kk iässä)
 
  | 
         
	
          Cantavia Mielitietty ♀ Oma sivu - KoiraNet | 
          OK 11/09 | 
          B/B | 
          1/0 | 
          1/0 | 
          Ei sivu- ääniä 11/09 | 
          Terve  vanh. perust. | 
          - | 
          1 pentue/ 2 jälkeläistä | 
          - Poropaimennustesti hylätty
	    2009 (ei haukkunut
	    ollenkaan)
 - Steriloitu
 - Henkitorven kollapsi
	    2019
 - Lopetettu
	  10/19 (12 v 3 kk iässä)
 
  | 
         
       
  | 
                 
              
             
             
             
            
              
                
                  
P-pentue (synt. 12.1.2008)Sain
	  kauniin, hienotyyppisen Tanhun lainaksi yhtä
	  pentuetta varten. Asiat eivät menneet ihan
	  suunnitellusti, kun M-pentueen isä Robbie (Jäkäläkummun Jänkäjustus) pääsi astumaan Tanhun
	  sen juoksun alkupäivinä ollessani itse
		    työmatkalla. Koirien hoitajalla oli
		    jäänyt koirat erottava ovi hetkeksi
		    raolleen ja kaksi minuuttia myöhemmin Robbie
		    oli jo astunut Tanhun (jota ei ollut siinä
		    vaiheessa vielä edes PEVISA-tarkastettu) - on siis olemassa uroksia,
		    joista voi sanoa, että ne ovat 
		    liian hyviä astumaan! Olin puhelimessa
		    koiranhoitajan kanssa kun astuminen tapahtui,
		    joten todistin tapahtumat itse etänä. "Hätäratkaisuna" päätin astuttaa
	  Tanhun juoksun oikeampana ajankohtana myös Orso-Farm Atninbeaskalla eli Peskillä, jolle olin alunperin
	  aikonut viedä aivan toisen nartun. Tanhu
	  terveystarkastettiin jälkikäteen, onneksi hyvin tuloksin. Pennut luonnollisesti
	  polveutumistestattiin ja kaikki osoittautuivat Peskin
	  jälkeläisiksi. Pentueesta kaksi urosta on jatkanut sukuaan. 
         
          | Nimi | 
          Silmät | 
          Lonkat | 
          Kyynär- nivelet | 
          Polvet | 
          Sydän | 
          prcd- PRA | 
          Pompen tauti | 
          Jälkeläiset | 
          Muuta | 
         
        
          i. Orso-Farm Atninbeaska KoiraNet | 
          OK 06/11 | 
          A/A | 
          - | 
          - | 
          - | 
          Terve | 
          - | 
          12 pentuetta/ 44 jälkeläistä | 
          - Finnzymesin DNA-tunniste DNA-T16825
 
  | 
         
        
          e. Orso-Farm Tanhuvilla KoiraNet | 
          OK 12/09 | 
          B/A | 
          0/0 | 
          0/0 | 
          - | 
          Kan- taja | 
          - | 
          2 pentuetta/ 7 jälkeläistä | 
          - Finnzymesin DNA-tunniste DNA-T19925
 
  | 
         
	
          Cantavia Pakkaslumi ♂ Oma sivu - KoiraNet | 
          OK 01/13 | 
          D/D | 
          ks. Muuta | 
          - | 
          - | 
          - | 
          - | 
          - | 
          - Finnzymesin DNA-tunniste DNA-T19928
 - Kyynärkuvat (ei
  Kennelliiton lausuntoa): vas./oik.
 - Nivelrikkoa
  välikämmenissä
 - Kilpirauhasen
  vajaatoiminta (todettu 02/16)
 - Ihottumaa
 - Lopetettu 11/16 (8 v 10 kk iässä)
 
  | 
         
	
          FI MVA Cantavia Piimäsuu ♂ Oma sivu - KoiraNet | 
          OK 12/11 | 
          B/B | 
          - | 
          - | 
          - | 
          Kan- taja  jälk. perust. | 
          - | 
          3 pentuetta/ 18 jälkeläistä | 
          - MRD (10/09), viimeisin
  silmätarkastus terve (12/11)
 - Finnzymesin DNA-tunniste DNA-T19929
 - Lopetettu 10/21 (13 v 9 kk iässä)
 
  | 
         
	
          Cantavia Pohjantähti ♂ Oma sivu - KoiraNet | 
          Distichi- asis  11/11 | 
          C/C | 
          - | 
          - | 
          - | 
          Terve | 
          - | 
          1 pentue/ 6 jälkeläistä | 
          - Finnzymesin DNA-tunniste DNA-T19930
 - Lopetettu 07/21 (13 v 6 kk iässä)
 
  | 
         
	
          C.I.B & POHJ & FI & SE &
	    NO & RO & BG & BG GR & CY & GE &
	    MD & MK & ME MVA V-10 BSW-11 Cantavia Poutapilvi ♀ Oma sivu - KoiraNet | 
          OK 10/09 (iris-iris PPM) | 
          D/D | 
          0/0 | 
          0/0 | 
          Ei sivu- ääniä 10/09 | 
          Kan- taja | 
          - | 
          - | 
          - Finnzymesin DNA-tunniste DNA-T19927
 - Uusintalonkkakuvat 2011 (ei
  Kennelliiton lausuntoa)
 - Jätetty pois
  jalostuksesta lonkkien takia
 - Steriloitu
 - Lopetettu 01/20 (11 v 11 kk iässä)
 
  | 
         
	 
  | 
                 
              
             
             
             
            
              
                
                  
N-pentue (synt. 10.4.2009)Fidelis Unikko eli 
	  Oona oli mahtava emä ja kun sen edellisestä pentueesta
	  sijoittamani Doris jäi
		    käyttämättä jalostukseen
	  sen PRA:n vuoksi, kysyin Oonaa lainaksi vielä
		    toiseenkin pentueeseen. Lupa heltisi ja
	  päätin astuttaa sen peikkomaisella Dagolas
	  Duutsonilla eli Tuiskulla. Pentueesta sukuaan 
	  jatkoivat Neidonkenkä ja Noitarumpu molemmat yhden pentueen verran. 
         
          | Nimi | 
          Silmät | 
          Lonkat | 
          Kyynär- nivelet | 
          Polvet | 
          Sydän | 
          prcd- PRA | 
          Pompen tauti | 
          Jälkeläiset | 
          Muuta | 
         
          
          i. Dagolas Duutsoni KoiraNet | 
          OK 12/09 | 
          A/A | 
          - | 
          - | 
          - | 
          Terve | 
          - | 
          5 pentuetta/ 27 jälkeläistä | 
            | 
         
	
          e. Fidelis Unikko KoiraNet | 
          OK 12/08 | 
          B/B | 
          - | 
          - | 
          - | 
          Kan- taja  jälk. perust. | 
          - | 
          3 pentuetta/ 15 jälkeläistä | 
          - Poropaimennustesti hyväksytty 2004
 - Lopetettu 07/16 (15 v 9 kk iässä)
 
  | 
         
	
          Cantavia Noitarumpu ♂ Oma sivu - KoiraNet | 
          OK 01/16 | 
          B/A | 
          0/0 | 
          0/0 | 
          Ei sivu- ääniä 09/18 | 
          Terve | 
          Terve | 
          1 pentue/ 6 jälkeläistä | 
          - Jalostustarkastettu
 - Luonnetesti +155 pistettä/laukausvarma (videot YouTubessa: 1, 2)
 - Degeneratiivinen myelopatia (DM):
  kantaja
 - Pahanlaatuinen 1-asteen mastsolukasvain
	    leikattu vatsasta 09/17
 - Kilpirauhasen
vajaatoiminta (todettu 09/18)
 - Silmissä
              nukleaariskleroosi (01/20)
 - Krooninen kuparivälitteinen hepatiitti (04/2021)
 - Lopetettu 11/23 (14 v 6 kk iässä)
 
  | 
         
	
          Cantavia Nokipannu ♂ Oma sivu - KoiraNet | 
          - | 
          - | 
          - | 
          - | 
          - | 
          - | 
          - | 
          - | 
            | 
         
        
          Cantavia Nuoskalumi ♂ Oma sivu - KoiraNet | 
          - | 
          - | 
          - | 
          - | 
          - | 
          - | 
          - | 
          - | 
          - Kastroitu eturauhasen liikakasvun
	    takia
 - Hyvälaatuisia ihokasvaimia 2019
 - Kilpirauhasen
vajaatoiminta
 - Lopetettu 6/24 (15 v 2 kk iässä), mahdollinen kasvain sekä tulehdusta, anemia ja kohonneet maksa-arvot
 
  | 
         
	
          FI & LV MVA Cantavia Neidonkenkä
	    ♀ Oma sivu - KoiraNet | 
          OK 01/16 | 
          C/C | 
          0/0 | 
          0/0 | 
          Ei sivu- ääniä 01/11 | 
          Kan- taja | 
          - | 
          1 pentue/ 3 jälkeläistä | 
           | 
         
	
          Cantavia Niittyvilla ♀ Oma sivu - KoiraNet | 
          - | 
          - | 
          - | 
          - | 
          - | 
          - | 
          - | 
          - | 
          - Kaksi pahanlaatuista 1-asteen mastsolukasvainta
	    leikattu vatsasta 09/17
 - Epileptinen kohtaus
	    01/19, syyksi paljastui aivokasvain
 - 
Lopetettu 03/19 (9 v 11 kk iässä)
 
  | 
         
     
  | 
                 
              
             
             
             
            
              
                
                  
J-pentue (synt. 20.4.2009)Sain
	       Jäkäläkummun Jasmillan eli Moonan jalostusoikeuden sen kasvattajalta, ja kun
	       haltijakin on lapsuudenystäväni ja olin sen
	       vuoksi tuntenut Moonan hyvin pennusta asti, en
	       epäröinyt tarttua tilaisuuteen. Dagolas
	       Bulleroa eli Joria olin
	       yrittänyt käyttää aikaisemmin
	       Pepille, ja kun siitä
	       yhdistelmästä ei pentuja saatu, niin vaihdoin
	       nartuksi Moonan. Moona 
	       oli kokoonsa nähden niin täynnä pentuja,
	       että sen kohtu ei
	       mahtunut kunnolla supistelemaan, ja niin oli vuorossa
	       kasvattajanurani ensimmäinen
	       keisarinleikkaus. Pentuja syntyi seitsemän, mutta
	       yksi narttupennuista piti päätään
	       takakenossa, äänteli valittaen
	       eikä alkanut imeä, joten se lopetettiin
	       seuraavana päivänä. Kokonaisuudessaan
	       tämän pentueen terveys ei osoittautunut
	       toivotunlaiseksi, joten jatkoa ei ole luvassa. 
         
          | Nimi | 
          Silmät | 
          Lonkat | 
          Kyynär- nivelet | 
          Polvet | 
          Sydän | 
          prcd- PRA | 
          Pompen tauti | 
          Jälkeläiset | 
          Muuta | 
         
          
          i. FI MVA Dagolas Bullero KoiraNet | 
          Kata- rakta 07/15 (ks. Muuta) | 
          A/A | 
          - | 
          - | 
          - | 
          Kan- taja | 
          - | 
          14 pentuetta/ 78 jälkeläistä | 
          - Kortikaalinen ja posterior
	    polaarinen katarakta
 
  | 
         
	
          e. Jäkäläkummun Jasmilla KoiraNet | 
          OK 10/07 | 
          B/B | 
          - | 
          - | 
          - | 
          Terve | 
          - | 
          1 pentue/ 6 jälkeläistä | 
          - MRD (10/05), viimeisin silmätarkastus terve (10/07)
 - Poropaimennustesti hylätty
	    2006 (ei osoittanut kiinnostusta poroihin)
 
  | 
         
	
          Cantavia Juhannustaika ♂ Oma sivu - KoiraNet | 
          OK 01/12 | 
          D/D | 
          3/1 | 
          - | 
          - | 
          - | 
          - | 
          - | 
          - Lopetettu 03/25 (15 v 11 kk iässä) vanhuuden vaivojen takia
 
  | 
         
	
          Cantavia Juolukanvarpu ♂ Oma sivu - KoiraNet | 
          OK 03/17 | 
          C/C | 
          1/1 | 
          0/0 | 
          Ei sivu- ääniä 04/14 | 
          Kan- taja | 
          - | 
          - | 
           | 
         
	
          Cantavia Jätkänkynttilä ♂ Oma sivu - KoiraNet | 
          - | 
          - | 
          - | 
          - | 
          - | 
          - | 
          - | 
          - | 
          - Kivesvikainen, kastroitu
 - Lopetettu 02/22 (12 v 10 kk iässä) vanhuuden vaivojen takia
 
  | 
         
	
          Cantavia
	    Jäkäläkäpälä ♀ Oma sivu - KoiraNet | 
          Iris-linssi PPM 01/11 | 
          C/B | 
          0/0 | 
          - | 
          - | 
          - | 
          - | 
          - | 
          - Kaksi epileptistyyppistä kohtausta
 - Lopetettu 09/20 (11 v 4 kk iässä): peräsuoleen ja peräsuolen ja emättimen väliseen tilaan aggressiivisesti levinnyt suuri kasvain
 
  | 
         
	
          Cantavia Jänkähilla ♀ Oma sivu - KoiraNet | 
          - | 
          - | 
          - | 
          - | 
          - | 
          - | 
          - | 
          - | 
          - Allerginen pölypunkille, varastopunkille ja jauhopunkille
 - Steriloitu
 - Lopetettu 07/20 (11 v 2 kk iässä)
 
  | 
         
	
          Cantavia Jääkyyhky ♀ Oma sivu - KoiraNet | 
          OK 11/16 | 
          C/B | 
          0/0 | 
          - | 
          - | 
          - | 
          - | 
          - | 
          - Välimuotoinen
	    lanne-ristinikama
 - Steriloitu valeraskauksien
	    takia
 - Rasituksessa ilmenevä yskä ja
	    kakominen, keuhkokudos paikoin normaalia
	    tiiviimpää ja henkitorvi taipunut mutkalle
	    suurentuneen imusolmukealueen takia. Diagnosoitu siitepölyallergiaksi.
 - Lopetettu 03/21 (11 v 11 kk iässä): virtsarakon kasvain
 
  | 
         
       
  | 
                 
              
             
             
             
            
              
                
                  
F-pentue (synt. 23.4.2009)Kukalle
	valitsin sulhaseksi Black Blossom Mr Uniquen eli Ukulin, jonka isä on ihana
	  Tarukallion Noppe. Astutus tapahtui valitettavasti hieman
	  liian myöhään, joten kohdussa oli loppujen
	  lopuksi vain yksi suuri pentu. Se ei tullut ulos omin
	  avuin, vaan tässäkin tapauksessa piti turvautua
	  keisarinleikkaukseen. Pentueen ainokaisella on
	  jälkeläisiä kolmen pentueen verran. 
         
          | Nimi | 
          Silmät | 
          Lonkat | 
          Kyynär- nivelet | 
          Polvet | 
          Sydän | 
          prcd- PRA | 
          Pompen tauti | 
          Jälkeläiset | 
          Muuta | 
         
          
          i. Black Blossom Mr Unique KoiraNet | 
          Kata- rakta 01/10 (ks. Muuta) | 
          A/A | 
          - | 
          0/0 | 
          - | 
          Terve | 
          - | 
          7 pentuetta/ 26 jälkeläistä | 
           | 
         
	
          e. BH TK2 Cantavia Kesäheinä Oma
  sivu - KoiraNet | 
          OK 12/13 (seniili väri- kalvon rap- peuma) | 
          B/B | 
          0/0 | 
          1/0 (ks. Muuta) | 
          - | 
          Terve | 
          - | 
          1 pentue/ 1 jälkeläinen | 
          - Poropaimennustesti hyväksytty
  2008
 - Luonnetesti +114 pistettä/laukausvarma
 - Vasen polvi leikattu puuttuvan telauran takia
  (1. polvitarkastus 11/07: 2/0 (mediaalinen polvilumpioluksaatio), 2. polvitarkastus 07/08: 1/0
	    (lateraalinen polvilumpioluksaatio))
 - Steriloitu
 - Todennäköisesti heikkoutta
	    vatsanpeitteissä - kehitti
	    napatyrän 8-vuotiaana (!)
 - 
Lopetettu 07/20 (13 v 11 kk iässä)
 
  | 
         
        
          BY MVA BYV-15 Cantavia Filttihattu ♂ Oma sivu - KoiraNet | 
          OK 02/17 | 
          A/A | 
          0/0 | 
          0/0 | 
          Ei sivu- ääniä 05/14 | 
          Terve  vanh. perust. | 
          - | 
          3 pentuetta/ 12 jälkeläistä | 
           | 
         
     
  | 
                 
              
             
             
             
            
              
                
                  
Y-pentue (synt. 11.2.2011)Staalon
	  Usvapeikon eli Ransun tytär Kivimarjan Suopunkityttö on yksi ehdottomia
	  suosikkejani, joten halusin käyttää Ransua
	  jollekin omalle nartulleni ja kunnia osui Miinan
	  kohdalle. Synnytys osoittautui vaikeaksi ja Miina sai
	  synnytettyä omin avuin vain yhden pennun, jonka jälkeen
	  oli pakko turvautua sektioon. Pentuja oli
	  yhteensä kuusi, joista kolme oli jo ehtinyt kuolla siihen
	  mennessä kun pennut saatiin ulos. Kahdesta
	  elävänä ulos leikatusta pennusta toinen oli heikossa
	  kunnossa ja kuoli seuraavana
	  päivänä. Hankalan synnytyksen lopputulos oli
	  siis vain kaksi elävää, mutta sitäkin
	  elinvoimaisempaa urospentua. 
         
          | Nimi | 
          Silmät | 
          Lonkat | 
          Kyynär- nivelet | 
          Polvet | 
          Sydän | 
          prcd- PRA | 
          Pompen tauti | 
          Jälkeläiset | 
          Muuta | 
         
          
          i. FI MVA Staalon Usvapeikko KoiraNet | 
          OK 05/16 | 
          A/A | 
          0/0 | 
          0/0 | 
          - | 
          Terve | 
          Terve | 
          6 pentuetta/ 27 jälkeläistä | 
            | 
         
	
          e. Cantavia Mielitietty Oma sivu - KoiraNet | 
          OK 11/09 | 
          B/B | 
          1/0 | 
          1/0 | 
          Ei sivu- ääniä 11/09 | 
          Terve  vanh. perust. | 
          - | 
          1 pentue/ 2 jälkeläistä | 
          - Poropaimennustesti hylätty
	    2009 (ei haukkunut ollenkaan)
 - Steriloitu
 - Henkitorven kollapsi
	    2019
 - Lopetettu
	  10/19 (12 v 3 kk iässä)
 
  | 
         
	        
          Cantavia Yömyssy ♂ Oma sivu - KoiraNet | 
          - | 
          - | 
          - | 
          - | 
          - | 
          Terve  vanh. perust. | 
          - | 
          - | 
          - Lopetettu 07/25 (14 v 5 kk iässä) vanhuuden vaivojen takia
 
  | 
         
	
          FI & BY MVA Cantavia Yövilkka ♂ Oma sivu - KoiraNet | 
          OK 10/13 | 
          C/D | 
          0/0 | 
          0/0 | 
          Ei sivu- ääniä 12/13 | 
          Terve  vanh. perust. | 
          - | 
          - | 
          - Luonnetesti +139 pistettä/laukausvarma
 - Degeneratiivinen myelopatia (DM): terve
 - Uusintalonkkakuvat 2017
 - Normaalit silmänpaineet 2018
 - Normaalit kilpirauhasarvot 2019
 - Puhjennut anaalirauhasfisteli oikealta puolelta 2018
 - Fibroadneksaalinen hamartooma (luomimainen ihomuutos oikean kyynärnivelen ulkopinnalla) 12/2021
 - Lopetettu
	  07/22 (11 v 5 kk iässä): toispuoleisen kasvohermohalvauksen eteneminen ja siitä aiheutuneet komplikaatiot
 
  | 
         
	        
  | 
                 
              
             
             
             
            
              
                
                  
Ä-pentue (synt. 15.7.2012)Olin
	  nähnyt Lempin pojanpojanpojan Viksalan Rabasin eli Mikin nuorena ja se
	  jäi kytemään takaraivooni, mutta sen kahden
	  ensimmäisen silmätarkastuksen tulos oli kaihiepäily. Myöhemmällä
	  iällä se sai kuitenkin kaksi
	  peräkkäistä puhdasta lausuntoa, joten
	  estettä jalostuskäytölle ei enää
	  ollut. Toisen puhtaan lausunnon saapuessa olin juuri
	  etsiskelemässä sulhasta Netalle, joten
	  etsintä päättyi siihen. Pentuja syntyi
	  neljä, mutta valitettavasti yksi narttupentu meni
	  heikkoon kuntoon n. kuukauden iässä ja jouduttiin
	  lopettamaan (linkki ruumiinavausraporttiin alla). Myös toisella
	  urospennuista oli terveysongelmia, joista se näytti jo
	  välillä paranevan, mutta lopetus koitui senkin
	  kohtaloksi kuuden kuukauden iässä (ruumiinavausraportti
	niin ikään alla). Ongelmien perimmäinen syy ei
	  valitettavasti selvinnyt. Pentueesta Varpu on lisääntynyt yhden pentueen verran. 
         
          | Nimi | 
          Silmät | 
          Lonkat | 
          Kyynär- nivelet | 
          Polvet | 
          Sydän | 
          prcd- PRA | 
          Pompen tauti | 
          Jälkeläiset | 
          Muuta | 
         
        
          i. FI MVA Viksalan Rabas KoiraNet | 
          OK 01/12 | 
          A/A | 
          - | 
          - | 
          - | 
          Terve | 
          - | 
          3 pentuetta/ 10 jälkeläistä | 
          - Katarakta-epäily (09/06 &
	    11/07), kaksi viimeisintä silmätarkastusta
	    terve (01/09 & 01/12)
 
  | 
         
	
          e. FI & LV MVA Cantavia Neidonkenkä Oma sivu - KoiraNet | 
          OK 01/16 | 
          C/C | 
          0/0 | 
          0/0 | 
          Ei sivu- ääniä 01/11 | 
          Kan- taja | 
          - | 
          1 pentue/ 3 jälkeläistä | 
           | 
         
        
          Cantavia Äimänkäki ♂ Oma sivu - KoiraNet | 
          Distichi- asis & ektoop- pinen cilia 05/15 | 
          D/D | 
          0/0 | 
          0/0 | 
          - | 
          Kan- taja | 
          Terve | 
          - | 
          - Luonnetesti +85 pistettä/laukausaltis
 - Välimuotoinen
  lanne-ristinikama LTV0 (normaali)
 
- Selän spondyloosi SP0 (puhdas)
 
- Nikamien epämuotoisuus VA0 (normaali)
 - Häntämutka
 - Eturauhasvaivoja
 - Struviittivirtsakiteitä
 - Kastroitu
 
  | 
         
	
          Cantavia Äkkiväärä ♂ Oma sivu - KoiraNet | 
          - | 
          - | 
          - | 
          - | 
          - | 
          - | 
          - | 
          - | 
          - Lopetettu 01/13 (6 kk iässä)
	  (ruumiinavausraportti -
	    tiivistelmä suomeksi: päälöydös
	    vakava surkastuttava nenäontelon tulehdus. Krooninen
	    vakava kuolioittava-erittävä nenäontelon
	    tulehdus. Kasvainta tai muuta taudinaiheuttajaa ei
	    löytynyt, epäilynä esim. virusinfektio (parainfluenssa, adenovirus)).
  
         |  
	
          Cantavia Ähäkutti ♀ Oma sivu - KoiraNet | 
          OK 01/21 | 
          B/B | 
          0/0 | 
          0/0 | 
          Ei sivu- ääniä 04/14 | 
          Terve | 
          Terve | 
          1 pentue/ 3 jälkeläistä | 
           | 
         
	
          | Rekisteröimätön narttupentu ♀ | 
          - | 
          - | 
          - | 
          - | 
          - | 
          - | 
          - | 
          - | 
           | 
         
   
  | 
                 
              
             
             
             
	    
	    
            
              
                
                  
K2-pentue (synt. 9.8.2013)Kielo
	  on tyypiltään hyvin paljon sitä, mitä
	  suomenlapinkoiralta haluan, joten halusin astuttaa sen
	  samantyyppisellä uroksella, Murustiinan Aamoksella eli Moosella, vaikka sen sukutaulun
	  koirat eivät minulle erityisen tuttuja
	  olleetkaan. Pentueesta tulikin ulkonäön puolesta hyvin pitkälle
	  sitä, mitä odotin, mutta mm. yhden epileptikon
		    takia tämä sai jäädä
		    Kielon ainoaksi pentueeksi. Harmillisesti pentueen ainoa
	  urospentu (väriltään riistaparkki) syntyi
	  kuolleena, mutta yksi nartuista on kuitenkin jatkanut
		    sukua yhden pentueen verran. 
         
          | Nimi | 
          Silmät | 
          Lonkat | 
          Kyynär- nivelet | 
          Polvet | 
          Sydän | 
          prcd- PRA | 
          Pompen tauti | 
          Jälkeläiset | 
          Muuta | 
         
          
          i. Murustiinan Aamos KoiraNet | 
          OK 02/15 | 
          A/A | 
          0/0 | 
          0/0 | 
          - | 
          - | 
          - | 
          4 pentuetta/ 21 jälkeläistä | 
            | 
         
        
          e. C.I.B & POHJ & FI & SE
	    & NO & BALT & EE & LV & LT & RU
	    & RKF & BY & RO & BG & BG GR & CY
	    & GE & MD & MK & ME MVA BALT & EE
	    & LV & LT VMVA JV-10 BYV-15  Shacal Rosmariini Oma
	    sivu - KoiraNet | 
          OK 12/15 | 
          B/C | 
          0/0 (tieto- kone- tomo- grafia) | 
          0/0 | 
          Ei sivu- ääniä 12/15 | 
          Terve | 
          Terve | 
          1 pentue/ 5 jälkeläistä | 
          - Poropaimennustaipumustesti hyväksytty 2014
 - Kyynärkuvat 2011: vas./oik.
 - Kyynärkuvat 2012: vas./oik.
 - Napatyrä
 - Todettu struviiittikiteitä
          virtsatietulehduksen yhteydessä
 - Synnytyksen
          jälkeinen kohtutulehdus 08/13
 - Kohtutulehdus
          06/18, steriloitu
 - Neljä pientä hyvänlaatuista nisäkasvainta ja hyvänlaatuinen sidekudoskasvain reideltä leikattu 02/2023
 - Lopetettu 07/25 (15 v 11 kk iässä) vanhuuden vaivojen takia
 
  | 
         
        
          Cantavia Kallankukka ♀ Oma sivu - KoiraNet | 
          - | 
          - | 
          - | 
          - | 
          - | 
          - | 
          - | 
          - | 
            | 
         
	
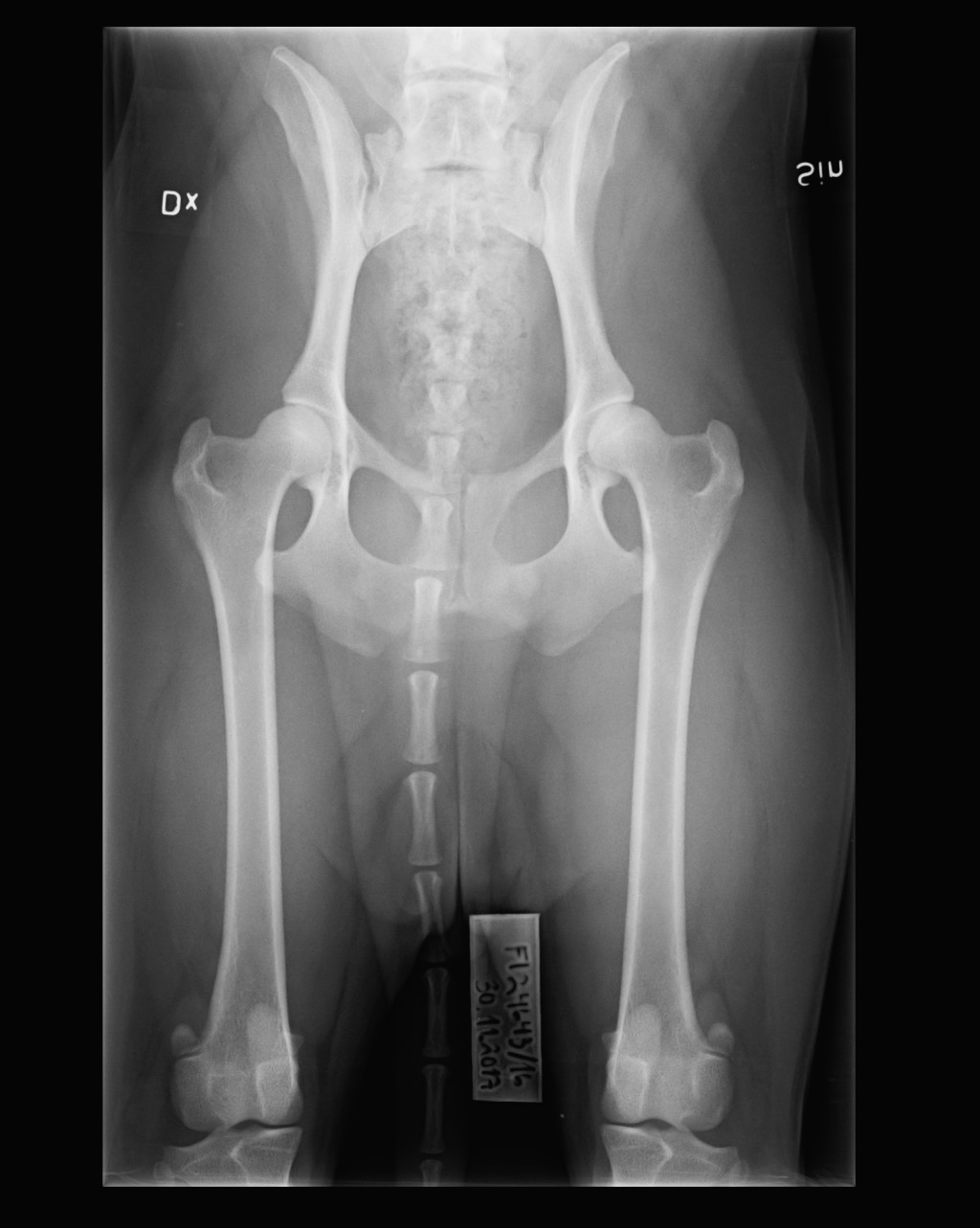
          FI & SE & BY MVA BYV-16 Cantavia Kalliokielo ♀ Oma sivu - KoiraNet | 
          OK 07/15 | 
          B/B | 
          0/1 | 
          0/0 | 
          - | 
          Terve | 
          Terve | 
          - | 
          - Molemminpuolinen
	    nivustyrä
 - Epileptinen
	    kohtaus
 - Lopetettu 03/19 (5 v 7 kk iässä)
	    käytöshäiriöiden vuoksi (aggressiivinen
	    perheen muita koiria kohtaan)
 
  | 
         
	
          Cantavia Kangasvuokko ♀ Oma sivu - KoiraNet - Hunddata | 
          - | 
          - | 
          - | 
          - | 
          - | 
          - | 
          - | 
          - | 
          - Viety Ruotsiin
 - Luonteeltaan
	  varautunut ja arvaamaton vieraita ihmisiä kohtaan
 - Steriloitu
	    2016
 - Meni äkillisesti huonoon kuntoon ja lopetettiin 05/19 (5 v 9 kk iässä),
	    epäilynä pernan repeäminen
 
  | 
         
	
          Cantavia Keijunkello ♀ Oma sivu - KoiraNet | 
          OK 01/17 (ks. Muuta) | 
          C/C | 
          0/0 | 
          0/0 | 
          Sivu- ääni  aste I | 
          - | 
          - | 
          - | 
          - Poropaimennustaipumustesti
	    hyväksytty 2015
 - Silmissä ns. smoke rings
	  -muutokset (oireeton ja harmiton muutos linssissä)
 
  | 
         
	
          Cantavia Korpihilla ♀ Oma sivu - KoiraNet | 
          OK 10/15 | 
          B/C | 
          0/0 | 
          0/0 | 
          Ei sivu- ääniä 10/15 | 
          Terve | 
          Terve | 
          1 pentue/ 6 jälkeläistä | 
          - Degeneratiivinen myelopatia (DM): terve
 - Alaleuan P4-hampaat puuttuvat
 
  | 
         
	        
  | 
                 
              
             
             
             
            
              
                
                  
V-pentue (synt. 16.7.2014)Sylville valitsin sulhaseksi vanhemman herrasmiehen
	  Kuurakuonon Caskiketun eli Kassun, jolla oli aikaisempia
	  jälkeläisiä ainoastaan yhden pentueen
	  verran. Sen hieman harvinaisemmasta sukutaulusta löytyi
	  myös vanhoja suosikkejani
	  (mm. Jäkäläkummun Balddonas sekä
		    Orso-Farm Runo). Pentueesta kaikki kolme ovat
		    jatkaneet sukuaan. 
         
          | Nimi | 
          Silmät | 
          Lonkat | 
          Kyynär- nivelet | 
          Polvet | 
          Sydän | 
          prcd- PRA | 
          Pompen tauti | 
          Jälkeläiset | 
          Muuta | 
         
          
          i. Kuurakuonon Caskikettu KoiraNet | 
          OK 05/13 | 
          A/A | 
          0/0 | 
          - | 
          - | 
          - | 
          - | 
          2 pentuetta/ 7 jälkeläistä | 
            | 
         
	
          e. FI MVA Suopunkitytön  Ihana Valo Oma sivu - KoiraNet | 
          OK 03/18 | 
          B/B | 
          0/0 | 
          0/0 | 
          Ei sivu- ääniä 02/14 | 
          Terve | 
          Terve | 
          3 pentuetta/ 12 jälkeläistä | 
          - Virheasentoinen
          yläkulmahammas (kuva 1, kuva 2) - pentukulmahammas ei irronnut
          itsestään ja poistettiin liian
          myöhään pysyvän hampaan alta
 - Panosteiittioireita kasvuiässä
 - Degeneratiivinen myelopatia (DM): kantaja
 - Steriloitu 2019
 - Lopetettu 11/24 (12 v 10 kk iässä) vanhuuden vaivojen takia
 
  | 
         
	
          Cantavia Valoilmiö ♂ Oma sivu - KoiraNet | 
          OK 02/23 | 
          B/A | 
          - | 
          - | 
          - | 
          Terve | 
          Terve | 
          3 pentuetta/ 10 jälkeläistä | 
          - Degeneratiivinen myelopatia (DM): terve
 - MH-luonnekuvattu
 - Perianaaliadenooma
 - Kastroitu
 
  | 
         
	
          Cantavia Valomerkki ♀ Oma sivu - KoiraNet | 
          OK 10/17 | 
          C/B | 
          0/0 | 
          0/0 | 
          - | 
          Terve | 
          Terve | 
          1 pentue/ 4 jälkeläistä | 
          - Degeneratiivinen myelopatia (DM): terve
 
  | 
         
	
          PAIM-T Cantavia Valopilkku ♀ Oma sivu - KoiraNet | 
          OK 06/21 | 
          B/B | 
          0/0 | 
          0/0 | 
          Ei sivu- ääniä 04/18 | 
          Terve | 
          Terve | 
          1 pentue/ 1 jälkeläinen | 
          - Perinteisen lammaspaimennuksen
	    taipumuskoe hyväksytty 2015
 - Poropaimennustaipumustesti hyväksytty 2016
 - Jalostustarkastettu
 - Luonnetesti +95 pistettä/laukausvarma
 - Degeneratiivinen myelopatia (DM): kantaja
 - Lopetettu 02/25 (10 v 7 kk iässä) ristisidevamman takia
 
  | 
         
	        
  | 
                 
              
             
             
             
            
              
                
                  
L2-pentue (synt. 22.2.2015)Vuokolle oli alunperin katsottuna vanhempi
	  käyttämätön uros, mutta erinäisistä
	  syistä sekä alkuperäinen että myös sen
	  varasuunnitelma menivät pieleen ja jouduin muuttamaan
	  suunnitelmia niin, että käytin Vuokolle urosta,
	  jota olin aikonut käyttää sille vasta
	  myöhemmin. Kontioharjun Kaamos eli Tuisku
		    miellytti minua sekä sukutaulultaan että
		    ulkoisilta avuiltaan, sen suurin "vika" oli nuori
		    ikä. Pentue on osoittautunut virallisten
		    terveystarkastusten osalta varsin onnistuneeksi ja
		    näyttelymenestyskin on ollut
		    mukavaa. Pentueesta on runsaasti jatkoa, sillä viisi kuudesta on vanhempana vähintään yhdelle pentueelle. 
         
          | Nimi | 
          Silmät | 
          Lonkat | 
          Kyynär- nivelet | 
          Polvet | 
          Sydän | 
          prcd- PRA | 
          Pompen tauti | 
          Jälkeläiset | 
          Muuta | 
         
          
          i. FI & SE MVA Kontioharjun Kaamos KoiraNet | 
          OK 09/20 | 
          B/B | 
          0/0 | 
          - | 
          - | 
          Kan- taja | 
          Terve | 
          8 pentuetta/ 45 jälkeläistä | 
           | 
         
	
          e. C.I.B & FI & SE & EE & LT & BY MVA BALT & EE & LV & LT & BY JMVA FI VMVA  
	    Lapinpeikon Namupala Oma sivu - KoiraNet | 
          OK 11/18 | 
          A/A | 
          0/0 | 
          0/0 | 
          Ei sivu- ääniä 03/17 | 
          Terve  vanh. perust. | 
          Terve | 
          2 pentuetta/ 7 jälkeläistä | 
          - Polveutuminen varmistettu
 - Poropaimennustaipumustesti 2014: suositellaan testattavaksi uudelleen
 - Jalostustarkastettu
 - Uveiitti
          (etukammiotulehdus) oikeassa silmässä 10/15
 - Degeneratiivinen myelopatia (DM): kantaja
 - Steriloitu 2020
 
  | 
         
	
          C.I.B & FI & EE & LT & BY & RU MVA BYV-16 LTV-18 Cantavia Liekinloimu ♂ Oma sivu - KoiraNet | 
          OK 01/21 | 
          A/A | 
          0/0 | 
          - | 
          - | 
          Terve | 
          Terve  vanh. perust. | 
          8 pentuetta/ 41 jälkeläistä | 
           | 
         
	
          FI MVA Cantavia Lumituisku ♂ Oma sivu - KoiraNet | 
          OK 02/25 | 
          A/A | 
          0/0 | 
          0/0 | 
          Ei sivu- ääniä 01/17 | 
          Kantaja | 
          Terve  vanh. perust. | 
          3 pentuetta/ 16 jälkeläistä | 
           | 
         
	
          Cantavia Lapinvuokko ♀ Oma sivu - KoiraNet | 
          OK 10/18 | 
          A/A | 
          0/0 | 
          0/0 | 
          - | 
          Terve | 
          Terve  vanh. perust. | 
          1 pentue/ 5 jälkeläistä | 
           | 
         
	
          Cantavia Leimukukka ♀ Oma sivu - KoiraNet | 
          - | 
          - | 
          - | 
          - | 
          - | 
          - | 
          Terve  vanh. perust. | 
          - | 
            | 
         
	
          Cantavia Luhtavilla ♀ Oma sivu - KoiraNet | 
          OK 05/20 | 
          A/B | 
          0/0 | 
          0/0 | 
          Ei sivu- ääniä 11/16 | 
          Terve | 
          Terve  vanh. perust. | 
          3 pentuetta/ 7 jälkeläistä | 
        - Degeneratiivinen myelopatia (DM): terve
 - Steriloitu
 
  | 
         
	
          Cantavia Lumikello ♀ Oma sivu - KoiraNet - Dutch Dog Data | 
          OK 08/21 | 
          A/A | 
          0/0 | 
          - | 
          - | 
          Kan- taja | 
          Terve  vanh. perust. | 
          3 pentuetta/ 14 jälkeläistä | 
          - Viety Alankomaihin
 - Degeneratiivinen myelopatia (DM): kantaja
 
  | 
         
	        
  | 
                 
              
             
             
             
            
              
                
                  
A-pentue (synt. 3.7.2015)Jo alusta alkaen Sylvin
		    sijoitusemännän haaveena oli jossain vaiheessa
		    teettää Sylvillä pentue, jossa olisi isänä
		    heidän oma Sulonsa
		    (Jäkäläkummun
		    Ällintälli). Sulon ja Sylvin mielestä
		    aika oli tähän kypsä kesällä
		    2015; meidän ihmisten
		    mielestä pariskunta olisi voinut vielä
		    vähän aikaa odotellakin! Joka
		    tapauksessa romanssin tuloksena oli satsi
		    ihastuttavia pentuja niin luonteeltaan kuin ulkonäöltäänkin. Oma roolini 
		    pentueen osalta oli lähinnä
		    rekisteröinti ja "markkinointi", kaiken muun
		    hoiti Sulon ja Sylvin perhe. 
         
          | Nimi | 
          Silmät | 
          Lonkat | 
          Kyynär- nivelet | 
          Polvet | 
          Sydän | 
          prcd- PRA | 
          Pompen tauti | 
          Jälkeläiset | 
          Muuta | 
         
          
          i. C.I.B & FI & SE MVA HeJW-10 MV-12 Jäkäläkummun Ällintälli KoiraNet | 
          OK 06/14 | 
          A/B | 
          0/0 (tieto- kone- tomo- grafia) | 
          0/0 | 
          - | 
          Terve | 
          Terve | 
          4 pentuetta/ 19 jälkeläistä | 
           | 
         
	
          e. FI MVA Suopunkitytön  Ihana Valo Oma sivu - KoiraNet | 
          OK 03/18 | 
          B/B | 
          0/0 | 
          0/0 | 
          Ei sivu- ääniä 02/14 | 
          Terve | 
          Terve | 
          3 pentuetta/ 12 jälkeläistä | 
          - Virheasentoinen
          yläkulmahammas (kuva 1, kuva 2) - pentukulmahammas ei irronnut
          itsestään ja poistettiin liian
          myöhään pysyvän hampaan alta
 - Panosteiittioireita kasvuiässä
 - Degeneratiivinen myelopatia (DM): kantaja
 - Steriloitu 2019
 - Lopetettu 11/24 (12 v 10 kk iässä) vanhuuden vaivojen takia
 
  | 
         
	
          Cantavia Aarnivalkea ♂ Oma sivu - KoiraNet | 
          OK 01/18 | 
          C/C | 
          0/0 | 
          - | 
          - | 
          Terve  vanh. perust. | 
          Terve  vanh. perust. | 
          - | 
          - Degeneratiivinen myelopatia (DM): terve
 
  | 
         
	
          Cantavia Ahvatuuli ♂ Oma sivu - KoiraNet | 
          - | 
          - | 
          - | 
          - | 
          - | 
          Terve  vanh. perust. | 
          Terve  vanh. perust. | 
          - | 
           | 
         
	
          Cantavia Aamukaste ♀ Oma sivu - KoiraNet | 
          - | 
          - | 
          - | 
          - | 
          - | 
          Terve  vanh. perust. | 
          Terve  vanh. perust. | 
          - | 
            | 
         
	
          RTK1 RTK2 Cantavia Ahomansikka ♀ Oma sivu - KoiraNet - Hunddata | 
          OK 08/17 | 
          C/C | 
          0/0 | 
          - | 
          - | 
          Terve  vanh. perust. | 
          Terve  vanh. perust. | 
          - | 
           | 
         
	
          Cantavia Apilankukka ♀ Oma sivu - KoiraNet | 
          - | 
          - | 
          - | 
          - | 
          - | 
          Terve  vanh. perust. | 
          Terve  vanh. perust. | 
          - | 
            | 
         
	        
  | 
                 
              
             
             
             
            
              
                
                  
U-pentue (synt. 21.3.2016)Tutkiskelin jossain vaiheessa
		    Hertan lähisukulaisia sillä ajatuksella,
		    että josko saisin sen linjoja takaisin
		    jotakin kautta ja törmäsin jo
		    entuudestaan vuosien takaa tuttuun Orso-Farm
		    Kobmiin eli Miskaan. Tuumasta toimeen ja Miska
		    silmätarkastettiin terveeksi, joten Papun
		    sulhanen oli sitä myöten
		    päätetty. Hyvistä yrityksistä
		    huolimatta Miska ei onnistunut Papua astumaan
		    (mikä on näitä vanhan,
		    ennestään astumattoman uroksen harvoja
		    varjopuolia), joten huolellisen harkinnan
		    jälkeen päädyin keinosiemennykseen,
		    etteivät muutoin erinomaisen uroksen geenit
		    menisi hukkaan. Tulokseksi tuli kolme ihastuttavaa
		    pentua, joihin olen nyt niiden vartuttua oikein tyytyväinen. 
         
          | Nimi | 
          Silmät | 
          Lonkat | 
          Kyynär- nivelet | 
          Polvet | 
          Sydän | 
          prcd- PRA | 
          Pompen tauti | 
          Jälkeläiset | 
          Muuta | 
         
          
          i. Orso-Farm Kobmi KoiraNet | 
          OK 01/16 | 
          C/C | 
          - | 
          - | 
          - | 
          Terve | 
          - | 
          1 pentue/ 3 jälkeläistä | 
            | 
         
	
          e. Savumerkin Papu Oma sivu - KoiraNet | 
          OK 11/15 | 
          A/A | 
          0/0 | 
          0/0 | 
          Ei sivu- ääniä 11/15 | 
          Terve  vanh. perust. | 
          Terve | 
          1 pentue/ 3 jälkeläistä | 
          - Steriloitu kohtuun kuolleen pennun
	    aiheuttaman tulehduksen takia
 - Degeneratiivinen
	    myelopatia (DM): kantaja jälkeläistensä ja
	    emänsä geenitestitulosten perusteella
 
  | 
         
        
	
          Cantavia Ukonhattu ♂ Oma sivu - KoiraNet | 
          OK 06/19 | 
          B/B
           | 0/0 | 
          - | 
          - | 
          Terve  vanh. perust. | 
          Terve | 
          - | 
          - Pieni napatyrä
 - Degeneratiivinen
	    myelopatia (DM): kantaja
 
  | 
         
	
          Cantavia Uninuttu ♀ Oma sivu - KoiraNet | 
          OK 01/20 | 
          A/A | 
          0/0 | 
          0/0 | 
          Ei sivu- ääniä 03/18 | 
          Terve  vanh. perust. | 
          Terve | 
          2 pentuetta/ 7 jälkeläistä | 
          - Poropaimennustaipumustesti 2018: suositellaan testattavaksi uudelleen
 - Jalostustarkastettu
 - Hieman matalat
	    lonkkamaljat
 - Degeneratiivinen myelopatia (DM): sairastumisriski
 
  | 
         
	
          Cantavia Utuhuntu ♀ Oma sivu - KoiraNet - Hunddata | 
          OK 08/23 | 
          A/A | 
          0/0 | 
          - | 
          - | 
          Terve  vanh. perust. | 
          Terve | 
          3 pentuetta/ 10 jälkeläistä | 
          - Viety Ruotsiin
 - Degeneratiivinen myelopatia (DM): terve
 
  | 
         
	        
  | 
                 
              
             
             
             
            
              
                
                  
H-pentue (synt. 10.10.2016)
		    Hallan emäntä halusi teettää sillä pentueen, joten valitsimme Hallalle
		    sulhasen ja sovimme, että pentue rekisteröidään
		    minun kennelnimelleni. Pentue ei varsinaisesti syntynyt
		    onnellisten tähtien alla: kun Halla oli
		    astutettu, uroksen jälkeläisillä
		    ilmeni huonoja kyynärkuvaustuloksia, ja itse
		    synnytys oli painajaismainen. Halla synnytti kolme
		    ensimmäistä pentua ongelmitta, mutta sen
		    jälkeen oli edessä
		    eläinlääkärireissu loppujen
		    pentujen ulos saamiseksi. Neljäs pentu oli
		    juuttunut syvälle kohdunkaulakanavaan ja oli
		    perätarjonnassa. Se piti kiskoa ulos
		    pihdeillä ja menetti siinä tohinassa
		    palan hännänpäätä
		    sekä yhden varpaan. Pentujen noustessa
		    jaloilleen kävi ilmi, että myös
		    toinen urospentu oli ottanut osumaa
		    synnytyksessä: sillä oli vasemmassa
		    takajalassa kahdessa varpaassa kynsiluun luksaatio
		    ja kahdessa murtuma. Ja aivan kuin
		    näissä ei olisi ollut tarpeeksi, Halla
		    joutui antibioottikuurille hankalan synnytyksen
		    jälkiseurauksena. Onneksi kaikki on mennyt
		    paremmin siitä eteenpäin! 
         
          | Nimi | 
          Silmät | 
          Lonkat | 
          Kyynär- nivelet | 
          Polvet | 
          Sydän | 
          prcd- PRA | 
          Pompen tauti | 
          Jälkeläiset | 
          Muuta | 
         
          
          i. Touhu-Ukon Bingo KoiraNet | 
          OK 03/15 | 
          A/A | 
          - | 
          - | 
          - | 
          Terve | 
          Terve | 
          4 pentuetta/ 29 jälkeläistä | 
            | 
         
	
          e. Cantavia Korpihilla Oma sivu - KoiraNet | 
          OK 10/15 | 
          B/C | 
          0/0 | 
          0/0 | 
          Ei sivu- ääniä 10/15 | 
          Terve | 
          Terve | 
          1 pentue/ 6 jälkeläistä | 
          - Degeneratiivinen myelopatia (DM): terve
 - Alaleuan P4-hampaat puuttuvat
 
  | 
         
        
	
          Cantavia Hallanhetki ♂ Oma sivu - KoiraNet | 
          - | 
          - | 
          - | 
          - | 
          - | 
          Terve  vanh. perust. | 
          Terve  vanh. perust. | 
          - | 
           | 
         
	
          Cantavia Hallanvaara ♂ Oma sivu - KoiraNet | 
          - | 
          - | 
          - | 
          - | 
          - | 
          Terve  vanh. perust. | 
          Terve  vanh. perust. | 
          - | 
            | 
         
	
          Cantavia Hallankajo ♂ Oma sivu - KoiraNet | 
          - | 
          - | 
          - | 
          - | 
          - | 
          Terve  vanh. perust. | 
          Terve  vanh. perust. | 
          - | 
           | 
         
	
          Cantavia Hallahelmi ♀ Oma sivu - KoiraNet | 
          - | 
          B/B | 
          2/2 | 
          - | 
          - | 
          Terve  vanh. perust. | 
          Terve  vanh. perust. | 
          - | 
           | 
         
	
          Cantavia Hallahuntu ♀ Oma sivu - KoiraNet | 
          - | 
          - | 
          - | 
          - | 
          - | 
          Terve  vanh. perust. | 
          Terve  vanh. perust. | 
          - | 
            | 
         
	
          Cantavia Halla-aamu ♀ Oma sivu - KoiraNet | 
          - | 
          - | 
          - | 
          - | 
          - | 
          Terve  vanh. perust. | 
          Terve  vanh. perust. | 
          - | 
            | 
         
	        
  | 
                 
              
             
             
             
            
              
                
                  
I-pentue (synt. 24.6.2017)
		    Varpun
		    emäntä toivoi Varpulle pentuetta, ja
		    suunnitteluprosessin lomassa sovimme, että
		    kuten edellissyksyinen Hallan pentue,
		    tämäkin rekisteröitäisiin minun
		    kennelnimelleni. Olin kaavaillut Nastin
		    jalostuskäyttöä jo pidemmän
		    aikaa ja nyt siihen tarjoutui oiva
		    tilaisuus. Yhdistelmä on minulle
		    erittäin mieluinen: isän puolelta se on
		    jo neljäs sukupolvi omia kasvattejani, ja
		    emänkin puolelta kolmas. Lisäksi sukutaulu
		    yhdistää kaksi ensimmäistä
		    lapinkoiraani Lempin (eiiie) sekä
		    Hertan
		    (ieie). Valitettavasti Varpulle jouduttiin
		    tekemään sektio ja kuudesta pennusta
		    selvisi loppujen lopuksi kolme. 
         
          | Nimi | 
          Silmät | 
          Lonkat | 
          Kyynär- nivelet | 
          Polvet | 
          Sydän | 
          prcd- PRA | 
          Pompen tauti | 
          Jälkeläiset | 
          Muuta | 
         
          
          i. BY MVA BYV-15 Cantavia Filttihattu Oma sivu - KoiraNet | 
          OK 02/17 | 
          A/A | 
          0/0 | 
          0/0 | 
          Ei sivu- ääniä 05/14 | 
          Terve  vanh. perust. | 
          - | 
          3 pentuetta/ 12 jälkeläistä | 
           | 
         
	
          e. Cantavia Ähäkutti Oma sivu - KoiraNet | 
          OK 03/17 | 
          B/B | 
          0/0 | 
          0/0 | 
          Ei sivu- ääniä 04/14 | 
          Terve | 
          Terve | 
          1 pentue/ 3 jälkeläistä | 
           | 
         
	
          Cantavia Ikirouta ♂ Oma sivu - KoiraNet | 
          - | 
          - | 
          - | 
          - | 
          - | 
          Terve  vanh. perust. | 
          - | 
          - | 
            | 
         
	
          Cantavia Iltavilli ♂ Oma sivu - KoiraNet | 
          OK 11/23 | 
          B/B | 
          0/0 | 
          0/0 | 
          - | 
          Terve  vanh. perust. | 
          - | 
          3 pentuetta/ 13 jälkeläistä | 
          - Lievää löysyyttä lonkkanivelissä
 - Degeneratiivinen myelopatia (DM): terve
 
  | 
         
	
          Cantavia Ilmiliekki ♀ Oma sivu - KoiraNet | 
          - | 
          A/A | 
          0/0 | 
          2/1 | 
          - | 
          Terve  vanh. perust. | 
          - | 
          - | 
            | 
         
	        
  | 
                 
              
             
	    
	    
             
             
            
              
                
                  
M2-pentue (synt. 1.1.2018)
		    Kiralle oli hakusessa tyypikäs, iäkkäämpi, vähänkäytetty
		    sulhanen, jonka sukutaulusta puuttuisi nykyiset yleisimmät
		    linjat. Uroksella piti kuitenkin mieluusti olla hieman
		    astumiskokemusta, sillä Kiralla on pitkä
		    juoksuväli, eikä huteihin olisi sijoitussopimuksen
		    puitteissa kovin paljoa varaa. Nämä speksit
		    täytti sopivasti Orso-Farm Kisälli,
		    jonka emä vieläpä on bonuksena P-pentueeni emä
		    Tanhuvilla. Pentueeseen syntyi kolme pentua,
		    mutta valitettavasti keskimmäisenä
		    syntynyt dominovärinen narttu oli kuollut jo
		    syntyessään oltuaan synnytyskanavassa
		    kovin pitkän ajan. 
         
          | Nimi | 
          Silmät | 
          Lonkat | 
          Kyynär- nivelet | 
          Polvet | 
          Sydän | 
          prcd- PRA | 
          Pompen tauti | 
          Jälkeläiset | 
          Muuta | 
         
          
          i. Orso-Farm Kisälli KoiraNet | 
          Kata- rakta 04/19 (ks. Muuta) | 
          B/B | 
          - | 
          - | 
          - | 
          Terve | 
          Terve | 
          7 pentuetta/ 22 jälkeläistä | 
          - Degeneratiivinen myelopatia (DM):
	    terve
 - Kortikaalinen katarakta
 
  | 
         
	
          e. Cantavia Luhtavilla Oma sivu - KoiraNet | 
          OK 05/20 | 
          A/B | 
          0/0 | 
          0/0 | 
          Ei sivu- ääniä 11/16 | 
          Terve | 
          Terve  vanh. perust. | 
          3 pentuetta/ 7 jälkeläistä | 
          - Degeneratiivinen myelopatia (DM): terve
 - Steriloitu
 
  | 
         
	
          Cantavia Mesimarja ♀ Oma sivu - KoiraNet | 
          - | 
          - | 
          - | 
          - | 
          - | 
          Terve  vanh. perust. | 
          Terve  vanh. perust. | 
          - | 
          - Degeneratiivinen myelopatia (DM):
	    terve vanhempien
	    perusteella
 - Alapurenta
 
  | 
         
	
          Cantavia Metsäruusu ♀ Oma sivu - KoiraNet | 
          OK 08/22 | 
          A/A | 
          0/0 | 
          0/0 | 
          Ei sivu- ääniä 06/20 | 
          Terve  vanh. perust. | 
          Terve  vanh. perust. | 
          2 pentuetta/ 5 jälkeläistä | 
          - Degeneratiivinen myelopatia (DM):
	    terve vanhempien perusteella
 - Poropaimennustaipumustesti 2022:
          suositellaan testattavaksi uudelleen
 - Jalostustarkastettu
 
  | 
         
	        
  | 
                 
              
             
	                 
             
            
              
                
                  
R-pentue (synt. 26.5.2018)
                    Sylvin
		    emäntä toivoi Sylville vielä kolmatta
		    ja viimeistä pentuetta, joten aloin
		    miettiä sille urosta
		    emännältään saatua toivelistaa vasten.
		    Alun perin suunnittelemani uros osoittautui
		    DM-kantajaksi, ja siinä vaiheessa Sylvin juoksu oli
		    jo niin lähellä, että uusi ehdokas
		    piti valita valmiiksi DM-terveiden joukosta (joka
		    ei vielä nykyisellään ole suuren
		    suuri). Olen kuitenkin tyytyväinen, että
		    urosvalinta täytti
		    pääpiirteissään sekä
		    Sylvin emännän että itseni
		    vaatimukset mm. enimmäis- ja
		    vähimmäisiän sekä aiemman
		    jälkeläismäärän
		    suhteen. Kössin luonne ja ulkomuotokin
		    natsasivat, ja lisäksi olen kovin tyytyväinen
		    L2-pentueeseeni, jonka isä on sen
		    pentueveli. Kuten parin vuoden takaisen
		    A-pentueen, tämänkin pentueen hoiti
		    kokonaisuudessaan Sylvin kotiväki minun
		    huolehtiessani lähinnä vain rekisteröinnin. 
         
          | Nimi | 
          Silmät | 
          Lonkat | 
          Kyynär- nivelet | 
          Polvet | 
          Sydän | 
          prcd- PRA | 
          Pompen tauti | 
          Jälkeläiset | 
          Muuta | 
         
          
          i. Kontioharjun Kinuski KoiraNet | 
          OK 05/21 | 
          C/B | 
          0/0 | 
          - | 
          - | 
          Kantaja | 
          Terve | 
          4 pentuetta/ 19 jälkeläistä | 
          - Degeneratiivinen myelopatia (DM): terve
 
  | 
         
	
          e. FI MVA Suopunkitytön  Ihana Valo Oma sivu - KoiraNet | 
          OK 03/18 | 
          B/B | 
          0/0 | 
          0/0 | 
          Ei sivu- ääniä 02/14 | 
          Terve | 
          Terve | 
          3 pentuetta/ 12 jälkeläistä | 
          - Virheasentoinen
          yläkulmahammas (kuva 1, kuva 2) - pentukulmahammas ei irronnut
          itsestään ja poistettiin liian
          myöhään pysyvän hampaan alta
 - Panosteiittioireita kasvuiässä
 - Degeneratiivinen myelopatia (DM): kantaja
 - Steriloitu 2019
 - Lopetettu 11/24 (12 v 10 kk iässä) vanhuuden vaivojen takia
 
  | 
         
	
          Cantavia Rakovalkea ♂ Oma sivu - KoiraNet | 
          OK 10/23 | 
          C/B | 
          0/0 | 
          0/0 | 
          - | 
          Kantaja | 
          Terve  vanh. perust. | 
          2 pentuetta/ 10 jälkeläistä | 
           | 
         
	
          Cantavia Revontuli ♂ Oma sivu - KoiraNet | 
          - | 
          - | 
          - | 
          - | 
          - | 
          - | 
          Terve  vanh. perust. | 
          - | 
            | 
         
	
          Cantavia Rommitoti ♂ Oma sivu - KoiraNet | 
          OK 09/20 | 
          C/C | 
          0/0 | 
          - | 
          - | 
          - | 
          Terve  vanh. perust. | 
          - | 
           | 
         
	
          Cantavia Riekonmarja ♀ Oma sivu - KoiraNet | 
          OK 01/23 | 
          C/C | 
          0/0 | 
          0/0 | 
          Ei sivu- ääniä 09/20 | 
          Terve | 
          Terve  vanh. perust. | 
          3 pentuetta/ 13 jälkeläistä | 
          - Degeneratiivinen myelopatia (DM): terve
 
  | 
         
	        
  | 
                 
              
             
	    
	     
             
            
              
                
                  
V2-pentue (synt. 4.9.2018)Rassi oli oikeastaan varauros,
		    jota päädyin käyttämään, kun alkoi
		    näyttää siltä, että homma
		    ei natsaisi Usvan
		    ykkösvaihtoehdon kanssa. Mutta Rassin hienon
		    rotutyypin ja mahtavan luonteen takia olen kuitenkin iloinen,
		    että niin kävi, vaikka pentuja loppujen
		    lopuksi tulikin vain yksi (lisäksi syntyi
		    myös lähes puolikiloinen urospentu, joka
		    oli jättimäinen pikkuruisen Usvan
		    synnytettäväksi ja oli jo kuollut
		    siinä vaiheessa, kun Usva vihdoin onnistui
		    saamaan sen ulos). Rassin sukutaulu tuo myös 
		    tuulahduksen menneisyydestä emänisänisänsä
		    Fidelis Miskan muodossa - Miska oli
		    ensimmäisen, vuonna 2001 syntyneen pentueeni isä! 
         
          | Nimi | 
          Silmät | 
          Lonkat | 
          Kyynär- nivelet | 
          Polvet | 
          Sydän | 
          prcd- PRA | 
          Pompen tauti | 
          Jälkeläiset | 
          Muuta | 
         
          
          i. Fidelis Ravja KoiraNet | 
          OK 11/19 | 
          B/B | 
          - | 
          - | 
          - | 
          Terve | 
          Terve | 
          3 pentuetta/ 9 jälkeläistä | 
          - Degeneratiivinen myelopatia (DM): terve
 
  | 
         
	
          e. PAIM-T Cantavia Valopilkku Oma sivu - KoiraNet | 
          OK 06/21 | 
          B/B | 
          0/0 | 
          0/0 | 
          Ei sivu- ääniä 04/18 | 
          Terve | 
          Terve | 
          1 pentue/ 1 jälkeläinen | 
          - Perinteisen lammaspaimennuksen
	    taipumuskoe hyväksytty 2015
 - Poropaimennustaipumustesti hyväksytty 2016
 - Jalostustarkastettu
 - Luonnetesti +95 pistettä/laukausvarma
 - Degeneratiivinen myelopatia (DM): kantaja
 - Lopetettu 02/25 (10 v 7 kk iässä) ristisidevamman takia
 
  | 
         
	
          Cantavia Valontuoja ♀ Oma sivu - KoiraNet | 
          - | 
          C/D | 
          0/0 | 
          - | 
          - | 
          Terve  vanh. perust | 
          Terve  vanh. perust. | 
          - | 
          - Degeneratiivinen myelopatia (DM): kantaja
 - Kärsinyt pitkäkestoisesta yskästä, mahdollisesti nielurisoista johtuvaa
 
  | 
         
	        
  | 
                 
              
             
	     
             
            
              
                
                  
S2-pentue (synt. 13.3.2019)Halusin käyttää Otsoa jollekin
		    nartulleni varmistellakseni, että saan jatkoa
		    sekä sen emästä Sylvistä
		    että isästä Kuurakuonon
		    Caskiketusta, joka edustaa hieman harvinaisempia
		    linjoja. Sukutaulullisesti Nuttu oli sille sopivin vaihtoehto, joten tuumasta toimeen ja yhdistelmä toteutui. Sijoitukseen jättämäni Bella jouduttiin valitettavasti steriloimaan ennen kuin ehdin pennuttaa sen. 
         
          | Nimi | 
          Silmät | 
          Lonkat | 
          Kyynär- nivelet | 
          Polvet | 
          Sydän | 
          prcd- PRA | 
          Pompen tauti | 
          Jälkeläiset | 
          Muuta | 
         
          
          i. Cantavia Valoilmiö Oma sivu - KoiraNet | 
          OK 02/23 | 
          B/A | 
          - | 
          - | 
          - | 
          Terve | 
          Terve | 
          3 pentuetta/ 10 jälkeläistä | 
           | 
         
	
          e. Cantavia Uninuttu  Oma sivu - KoiraNet | 
          OK 01/20 | 
          A/A | 
          0/0 | 
          0/0 | 
          Ei sivu- ääniä 03/18 | 
          Terve  vanh. perust. | 
          Terve | 
          2 pentuetta/ 7 jälkeläistä | 
          - Poropaimennustaipumustesti 2018: suositellaan testattavaksi uudelleen
 - Jalostustarkastettu
 - Hieman matalat
	    lonkkamaljat
 - Degeneratiivinen myelopatia: sairastumisriski
 
  | 
         
	
          Cantavia Sammalsukka ♂ Oma sivu - KoiraNet | 
          - | 
          - | 
          - | 
          - | 
          - | 
          Terve  vanh. perust | 
          Terve  vanh. perust. | 
          - | 
          - Degeneratiivinen myelopatia (DM):
	    kantaja vanhempien perusteella
 
  | 
         
	
          Cantavia Sudentassu ♂ Oma sivu - KoiraNet | 
          - | 
          - | 
          - | 
          - | 
          - | 
          Terve  vanh. perust | 
          Terve  vanh. perust. | 
          - | 
          - Degeneratiivinen myelopatia (DM):
	    kantaja vanhempien perusteella
 
  | 
         
	
          PAIM-T BH Cantavia Sarkanuttu ♀ Oma sivu - KoiraNet | 
          OK 05/21 | 
          B/B | 
          0/0 | 
          0/0 | 
          Ei sivu- ääniä 05/21 | 
          Terve  vanh. perust | 
          Terve  vanh. perust. | 
          - | 
          - Degeneratiivinen myelopatia (DM):
	    kantaja vanhempien perusteella
 - Perinteisen lammaspaimennuksen taipumuskoe hyväksytty 2020
 - Luonnetesti +170 pistettä/laukauskokematon
 - Steriloitu 10/2021 kohtutulehduksen vuoksi
 
  | 
         
	
          FI MVA RTK1 Cantavia Seitakivi ♀ Oma sivu - KoiraNet | 
          OK 11/24 | 
          A/A | 
          0/0 | 
          0/0 | 
          - | 
          Terve  vanh. perust | 
          Terve  vanh. perust. | 
          2 pentuetta/ 6 jälkeläistä | 
          - Degeneratiivinen myelopatia (DM):
	    kantaja vanhempien perusteella
 - Lappalaiskoirat ry:n koiratanssin (freestyle) alokasluokan rotumestaruus 2020
 - Luonnetesti +95 pistettä/laukausvarma
 - Lammaspaimennustaipumustesti: ei läpäissyt
 - Jalostustarkastettu
 
  | 
         
       
  | 
                 
              
             
	     
             
            
              
                
                  
L3-pentue (synt. 18.7.2019)Tapasin Samulin alkuvuodesta 2019
		    Kuopion Jalostuspäivillä ja ihastuin
		    sen mahtavaan luonteeseen (ainoana miinuksena
		    laukauksiin reagointi) niin, että
		    päädyin käyttämään
		    sitä jalostukseen. Kiinnostavaa oli myös sen
		    harvinaiseksi käyvä sukutaulu, ja onpa
		    vielä bonuksena sen emänemä
		    ensimmäisen lapinkoirani Lempin
		    sisarpuoli. Samulia ei ole luustokuvattu, mutta
		    sen kahdella kuvatulla pentuesisaruksella on
		    A/A-lonkat (ja toisella niistä lisäksi
		    0/0-kyynärät), ja myös kuvatut
		    puolisisarukset ovat
		    pääsääntöisesti
		    A/A-lonkkaisia. Niin ollen uskalsin Lappalaiskoirat
		    ry:n puoltamalla ja Kennelliiton
		    myöntämällä poikkeusluvalla
		    yhdistää sen Kiraan, jolla
		    itsellään sekä lähisuvulla on
		    hyvät luustokuvatulokset. Harmillisesti pentuja tuli vain yksi, mutta onneksi edes se! 
         
          | Nimi | 
          Silmät | 
          Lonkat | 
          Kyynär- nivelet | 
          Polvet | 
          Sydän | 
          prcd- PRA | 
          Pompen tauti | 
          Jälkeläiset | 
          Muuta | 
         
          
          i. Staalon Xamuli KoiraNet | 
          OK 04/19 | 
          - | 
          - | 
          - | 
          - | 
          Kantaja  vanh. perust. | 
          Terve | 
          1 pentue/ 1 jälkeläinen | 
           | 
         
	
          e. Cantavia Luhtavilla Oma sivu - KoiraNet | 
          OK 05/20 | 
          A/B | 
          0/0 | 
          0/0 | 
          Ei sivu- ääniä 11/16 | 
          Terve | 
          Terve  vanh. perust. | 
          3 pentuetta/ 7 jälkeläistä | 
          - Degeneratiivinen myelopatia (DM): terve
 - Steriloitu
 
  | 
         
	
          Cantavia Luhtakerttunen ♀ Oma sivu - KoiraNet | 
          OK 05/25 | 
          B/B | 
          0/0 | 
          0/0 | 
          - | 
          Terve | 
          Terve  vanh. perust. | 
          2 pentuetta/ 8 jälkeläistä | 
          - Degeneratiivinen myelopatia (DM):
	    terve vanhempien perusteella
 
  | 
         
       
  | 
                 
              
             
	    
	     
             
            
              
                
                  
T2-pentue (synt. 19.2.2020)Vuokon pennutusyrityksissä oli ollut sen verran epäonnea, että tähän viimeiseen yritykseen päätin käyttää varmuudella hyvää astujaa, joka olisi myös tarpeeksi kookas yltääkseen hoitamaan homman (Vuokko kun ei todellakaan ole mikään pikkutyttö!). Tapasin Toscan hieman sattumalta syksyllä 2019, ja paitsi että totesin sen tarpeeksi kookkaaksi ja muutenkin ulkomuodoltaan sopivaksi, ihastuin sen luonteeseen niin, että tarkistin pikaisesti sen DM-statuksen (Vuokko on kantaja) ja heitin ilmoille ajatuksen Vuokon astuttamisesta Toscalla. Sainkin myöhemmin myöntävän vastauksen ja itse astutus onnistui hienosti. Ultrassa näkyi kolme pentua määrän tarkentuessa myöhemmin röntgenissä neljäksi. Vuokko synnytti ensimmäisen pennun ongelmitta, mutta sen jälkeen ei enää tapahtunutkaan juuri mitään, joten lähdimme eläinlääkäriin. Siellä pentu numero kaksi syntyi oksitosiinin avulla, mutta loput kaksi piti keisarileikata. Kaikki kolme olivat valitettavasti jollain tapaa alikehittyneitä (kallot alikehittyneet ja yhdellä pennulla vatsaontelo auki) eikä niistä ollut eläjiksi, joten lopputulokseksi jäi se ainoa normaalisti syntynyt pentu. Se oli onneksi koko ajan hyvin elinvoimainen ja virkeä ja siitä varttui kovin iloinen ja vilkas hännänheiluttelija. 
         
          | Nimi | 
          Silmät | 
          Lonkat | 
          Kyynär- nivelet | 
          Polvet | 
          Sydän | 
          prcd- PRA | 
          Pompen tauti | 
          Jälkeläiset | 
          Muuta | 
         
          
          i. C.I.B & FI & BALT & EE & LV & LT MVA FI VMVA Vanilla's Honey Hope You Like KoiraNet | 
          OK 05/22 | 
          B/B | 
          0/0 | 
          0/0 | 
          Ei sivu- ääniä 09/19 | 
          Kantaja | 
          Terve | 
          6 pentuetta/ 21 jälkeläistä | 
           | 
         
          e. C.I.B & FI & SE & EE & LT & BY MVA BALT & EE & LV & LT & BY JMVA FI VMVA  
	    Lapinpeikon Namupala Oma sivu - KoiraNet | 
          OK 11/18 | 
          A/A | 
          0/0 | 
          0/0 | 
          Ei sivu- ääniä 03/17 | 
          Terve  vanh. perust. | 
          Terve | 
          2 pentuetta/ 7 jälkeläistä | 
          - Polveutuminen varmistettu
 - Poropaimennustaipumustesti 2014: suositellaan testattavaksi uudelleen
 - Jalostustarkastettu
 - Uveiitti
          (etukammiotulehdus) oikeassa silmässä 10/15
 - Degeneratiivinen myelopatia (DM): kantaja
 - Steriloitu 2020
 
  | 
         
          FI MVA PAIM-T Cantavia Tuiskutuuli ♂ Oma sivu - KoiraNet | 
          OK 05/24 | 
          C/C | 
          0/0 | 
          0/0 | 
          Ei sivu- ääniä 03/22 | 
          Terve | 
          Terve | 
          - | 
          - Degeneratiivinen myelopatia (DM): kantaja
 - Canine Multifocal Retinopathy (CMR): terve
 - Välimuotoinen
  lanne-ristinikama LTV1 (jakautunut ristiluun keskiharjanne (s1-s2) tai muu lievästi normaalista poikkeava rakenne)
 
- Selän spondyloosi SP0 (puhdas)
 
- Nikamien epämuotoisuus VA0 (normaali)
 - Selkäkuvat: 1, 2 ja 3
 - Gonioskopia: ei todettu kammiokulman poikkeavuuksia (05/24)
 - Perinteisen lammaspaimennuksen taipumuskoe hyväksytty 2021
 - Poropaimennustaipumustesti 2022:
          suositellaan testattavaksi uudelleen
 - Jalostustarkastettu
 
  | 
         
       
  | 
                 
              
             
	     
             
            
              
                
                  
K3-pentue (synt. 6.8.2020)Olin koronavirusepidemian takia hetken aikaa osittain lomautettuna ja harmittelin, ettei minulla ollut narttua jota astuttaa, kun kerrankin olisi tilaisuus ajella vaikka kuinka pitkälle astutusreissulle ilman minkäänlaisia aikataulupaineita. Olimme puhuneet Kiran emännän Mervin kanssa Kiran kolmannesta mahdollisesta pentueesta, ja melkein heti sen jälkeen, kun olimme viritelleet keskustelua uudelleen, Kira aloittikin sopivasti juoksun, joten eipähän mennyt minulta pakkoloma hukkaan. Olin iskenyt silmäni kaunisilmeiseen Peski Karvalalliin, jonka sukutaulussa oli vanhoja suosikkejani (mm. Jäkäläkummun Balddonas ja Smith) ja jolla oli erinomaiset terveystulokset. Onpa lisäksi oma Kieloni sen täti! Pienen lisäselvittelyn jälkeen löin yhdistelmän lukkoon ja ajelin Kiran kanssa pääkaupunkiseudulle Lallia tapaamaan. Tällä kertaa astutuksen ajoitus meni todennäköisesti paremmin kohdalleen kuin Kiran kahden edellisen pentueen kohdalla ja pentuja syntyi keisarinleikkauksella viisi, joista valitettavasti yksi uros kuoli n. vuorokauden ikäisenä. 
         
          | Nimi | 
          Silmät | 
          Lonkat | 
          Kyynär- nivelet | 
          Polvet | 
          Sydän | 
          prcd- PRA | 
          Pompen tauti | 
          Jälkeläiset | 
          Muuta | 
         
          
          i. Peski Karvalalli KoiraNet | 
          OK 03/20 | 
          A/A | 
          0/0 | 
          0/0 | 
          - | 
          Terve | 
          Terve | 
          3 pentuetta/ 15 jälkeläistä | 
          - Degeneratiivinen myelopatia (DM): terve
 
  | 
         
	
          e. Cantavia Luhtavilla Oma sivu - KoiraNet | 
          OK 05/20 | 
          A/B | 
          0/0 | 
          0/0 | 
          Ei sivu- ääniä 11/16 | 
          Terve | 
          Terve  vanh. perust. | 
          3 pentuetta/ 7 jälkeläistä | 
          - Degeneratiivinen myelopatia (DM): terve
 - Steriloitu
 
  | 
         
          Cantavia Karvakuono ♂ Oma sivu - KoiraNet | 
          OK 09/22 | 
          B/B | 
          0/0 | 
          - | 
          - | 
          Terve  vanh. perust. | 
          Terve  vanh. perust. | 
          - | 
          - Degeneratiivinen myelopatia (DM): terve vanhempien perusteella
 - Pieni napatyrä, ei leikkaustarvetta
 - Hieman matalat lonkkamaljat
 
  | 
         
          Cantavia Karvatassu ♂ Oma sivu - KoiraNet | 
          OK 06/25 | 
          A/A | 
          0/0 | 
          0/0 | 
          Ei sivu- ääniä 04/22 | 
          Terve  vanh. perust. | 
          Terve  vanh. perust. | 
          5 pentuetta/ 24 jälkeläistä | 
           | 
                       
          Cantavia Karvakorva ♂ Oma sivu - KoiraNet | 
          - | 
          - | 
          - | 
          - | 
          - | 
          Terve  vanh. perust. | 
          Terve  vanh. perust. | 
          - | 
          - Degeneratiivinen myelopatia (DM): terve vanhempien perusteella
 - Napatyrä (leikattu 01/21)
 - Kastroitu
 
  | 
                       
          Cantavia Kashmirvilla ♀ Oma sivu - KoiraNet | 
          - | 
          A/A | 
          0/0 (ks. Muuta) | 
          - | 
          - | 
          Terve  vanh. perust. | 
          Terve  vanh. perust. | 
          - | 
          - Degeneratiivinen myelopatia (DM): terve vanhempien perusteella
 - Kennelliiton kyynärlausunnon lisätieto: Oikea kyynärnivel rajatapaus
 - Välimuotoinen
  lanne-ristinikama LTV0 (normaali)
 
- Selän spondyloosi SP0 (puhdas)
 
- Nikamien epämuotoisuus VA0 (normaali)
 - Selkäkuvat: 1, 2, 3 ja 4
 
  | 
                       
                       
  | 
                 
              
             
	     
             
            
              
                
                  
Ruusu-pentue (synt. 16.9.2021)Olin pitänyt Katajavaaran M-pentuetta silmällä sen syntymästä asti; onhan se minulle aivan erityisen kiinnostava sukutaulunsa puolesta, kun siinä on lähellä ensimmäinen koirani Lempi ja hieman taempana Ronja ja Hertta. Menninkäiselle eli Sammulle mietin sopivaa morsianta aina silloin tällöin, mutta sen B/C-lonkkatulos ja DM-kantajuus hieman rajoittivat sitä, mille nartuistani se kävi. Onneksi pääsin vihdoin käyttämään Sammua A/A-lonkkaiselle ja DM-terveelle Ruusulle, ja olin toki tyytyväinen, että Sammulle oli siinä sopivaa narttua odotellessa ehtinyt kertyä mukavasti ikää ja se oli edelleen itse kaikin puolin terve. Koko syntynyt pentukolmikko oli oikein reipas ja iloinen katras, jonka varttumista on ollut ilo seurata. Takapakkia tuli heinäkuussa 2024, kun Haku sai pari epilepsiakohtausta. Lääkityksen aloittamisenkin jälkeen kohtauksia on tullut muutama, mutta toivotaan, että annostus saadaan kohdilleen ja kohtaukset pysyvät poissa.. 
         
          | Nimi | 
          Silmät | 
          Lonkat | 
          Kyynär- nivelet | 
          Polvet | 
          Sydän | 
          prcd- PRA | 
          Pompen tauti | 
          Jälkeläiset | 
          Muuta | 
         
          
          i. Katajavaaran Menninkäinen KoiraNet | 
          OK 04/21 | 
          B/C | 
          0/0 | 
          0/0 | 
          Ei sivu- ääniä 10/16 | 
          Terve  vanh. perust. | 
          Terve  vanh. perust. | 
          3 pentuetta/ 7 jälkeläistä | 
           | 
         
	
          e. Cantavia Metsäruusu Oma sivu - KoiraNet | 
          OK 08/22 | 
          A/A | 
          0/0 | 
          0/0 | 
          Ei sivu- ääniä 06/20 | 
          Terve  vanh. perust. | 
          Terve  vanh. perust. | 
          2 pentuetta/ 5 jälkeläistä | 
          - Degeneratiivinen myelopatia (DM):
	    terve vanhempien perusteella
 - Poropaimennustaipumustesti 2022:
          suositellaan testattavaksi uudelleen
 - Jalostustarkastettu
 
  | 
         
          Cantavia Ruusupippuri ♂ Oma sivu - KoiraNet | 
          OK 01/24 | 
          B/B | 
          0/0 | 
          - | 
          - | 
          Terve  vanh. perust. | 
          Terve  vanh. perust. | 
          1 pentue/ 4 jälkeläistä | 
          - Gonioskopia: ei todettu kammiokulman poikkeavuuksia (01/24)
 
  | 
         
        Cantavia Ruusuritari ♂ Oma sivu - KoiraNet | 
          - | 
          B/A | 
          0/0 | 
          0/0 | 
          - | 
          Terve  vanh. perust. | 
          Terve  vanh. perust. | 
          - | 
          - Kivesvikainen
 - Kastroitu
 - Epilepsia (puhjennut 07/24), lääkityksellä
 
  | 
         
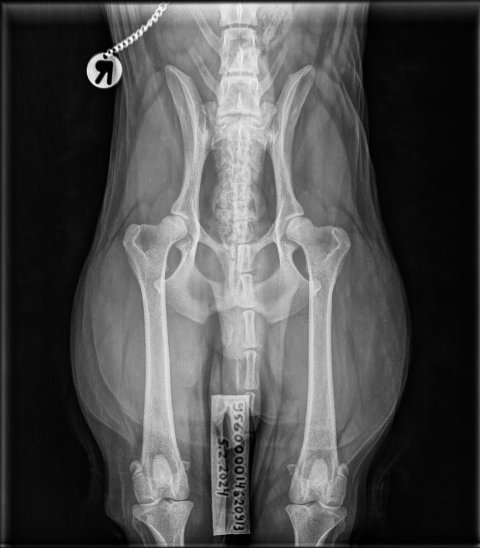
        FI & SE MVA FI JMVA PAIM-T Cantavia Ruusukulta ♀ Oma sivu - KoiraNet | 
          OK 05/24 | 
          C/B | 
          0/0 | 
          0/0 | 
          - | 
          Terve  vanh. perust. | 
          Terve  vanh. perust. | 
          - | 
          - Pieni rasvanapa, ei leikkaustarvetta
 - Matalat
	    lonkkamaljat
 - Välimuotoinen
  lanne-ristinikama LTV0 (normaali)
 
- Nikamien epämuotoisuus VA0 (normaali)
 - Selkäkuvat: 1, 2 ja 3
 - Gonioskopia: ei todettu kammiokulman poikkeavuuksia (05/24)
 - Degeneratiivinen myelopatia (DM): terve (epävirallinen Embark-tulos)
 - ift122-PRA: terve (epävirallinen Embark-tulos)
 - Canine multifocal retinopathy (CMR): terve (epävirallinen Embark-tulos)
 - Geneettinen sukusiitosprosentti 11 % (Embark)
 - Poropaimennustaipumustesti 2024: suositellaan testattavaksi uudelleen
 - Perinteisen lammaspaimennuksen taipumuskoe hyväksytty 2024
 
  | 
         
       
  | 
                 
              
             
	     
             
            
              
                
                  
Noki-pentue (synt. 29.10.2021)Kun Noen pennutusta alettiin suunnitella, kävi ilmi että meillä oli sijoitusemännän Niinan kanssa mielessä sama uros eli Niinan kasvatti Famolas Qstone, jonka sukutaulu on sopivan erilainen nykypäivän linjoihin nähden (ja tuleepahan sen takaa myös ihana kasvattini Jeppe). Koko pennutus astutuksesta synnytykseen meni kuin suoraan oppikirjoista, ja Noki oli kerrassaan erinomainen emä pennuilleen (ja Niina erinomainen leikittäjä/ruokkija/siivooja!). Tähän pentueeseen on saatu jatkoa paitsi Suomeen, myös Amerikan mantereelle. 
         
          | Nimi | 
          Silmät | 
          Lonkat | 
          Kyynär- nivelet | 
          Polvet | 
          Sydän | 
          prcd- PRA | 
          Pompen tauti | 
          Jälkeläiset | 
          Muuta | 
         
          
          i. Famolas Qstone KoiraNet | 
          OK 05/20 | 
          B/B | 
          0/0 | 
          0/0 | 
          - | 
          Terve | 
          Terve  vanh. perust. | 
          1 pentue/ 5 jälkeläistä | 
          - Degeneratiivinen myelopatia (DM): terve vanhempien perusteella
 
  | 
         
	
          e. Cantavia Luhtakerttunen Oma sivu - KoiraNet | 
          OK 05/25 | 
          B/B | 
          0/0 | 
          0/0 | 
          - | 
          Terve | 
          Terve  vanh. perust. | 
          2 pentuetta/ 8 jälkeläistä | 
          - Degeneratiivinen myelopatia (DM):
	    terve vanhempien perusteella
 
  | 
         
          Cantavia Nokikolari ♂ Oma sivu - KoiraNet | 
          - | 
          - | 
          - | 
          - | 
          - | 
          Terve  vanh. perust. | 
          Terve  vanh. perust. | 
          - | 
          - Degeneratiivinen myelopatia (DM): terve vanhempien perusteella
 
  | 
         
          Cantavia Nokipoika ♂ Oma sivu - KoiraNet | 
          - | 
          C/C | 
          0/0 | 
          0/0 | 
          - | 
          Terve  vanh. perust. | 
          Terve  vanh. perust. | 
          - | 
          - Degeneratiivinen myelopatia (DM): terve vanhempien perusteella
 - Välimuotoinen
  lanne-ristinikama LTV0 (normaali)
 
- Selän spondyloosi SP0 (puhdas)
 
- Nikamien epämuotoisuus VA0 (normaali)
 - Selkäkuvat: 1, 2, 3 ja 4
 - Olkanivelten osteokondroosi: Ei todettu/Ei todettu
 
  | 
                       
          Cantavia Nokilakki ♀ Oma sivu - KoiraNet | 
          OK 03/25 | 
          PennHIP DI 0.36 1, 2, 3 | 
          OFA Normal | 
          - | 
          - | 
          Terve  vanh. perust. | 
          Terve  vanh. perust. | 
          1 pentue/ 5 jälkeläistä | 
          - Viety Yhdysvaltoihin
 - Degeneratiivinen myelopatia (DM): terve vanhempien perusteella
 - Gonioskopia: ei todettu kammiokulman poikkeavuuksia (03/25)
 
  | 
                       
          Cantavia Nokinenä ♀ Oma sivu - KoiraNet | 
          OK 09/25 (puut- teel- linen  kyynel- kanavan aukko) | 
          C/B | 
          0/0 | 
          0/0 | 
          Ei sivu- ääniä 12/23 | 
          Terve  vanh. perust. | 
          Terve  vanh. perust. | 
          - | 
          - Degeneratiivinen myelopatia (DM): terve vanhempien perusteella
 - Matalat
	    lonkkamaljat
 - Välimuotoinen
  lanne-ristinikama LTV0 (normaali) (röntgenlausunnon huomautus: Rajatapaus LTV - Viimeinen lannenikama on lyhyt ja sijaitsee takana)
 
- Nikamien epämuotoisuus VA0 (normaali)
 - Selkäkuvat: 1, 2 ja 3
 - Jalostustarkastettu
 
  | 
         
        PAIM-T Cantavia Nokivalkea ♀ Oma sivu - KoiraNet | 
          OK 02/24 | 
          B/C | 
          0/1 (ks. Muuta) | 
          0/0 | 
          - | 
          Terve  vanh. perust. | 
          Terve  vanh. perust. | 
          1 pentue/ 4 jälkeläistä | 
          - Degeneratiivinen myelopatia (DM): terve vanhempien perusteella
 
              - Kyynärnivelet tutkittu röntgenin lisäksi tietokonetomografialla: n. 1 mm korkeaa uudisluuta processus anconeuksen päällä ja vajaa 1 mm pituinen luupiikki sisemmän varislisäkkeen mediaalireunassa
 - Perinteisen lammaspaimennuksen taipumuskoe hyväksytty 2024
 
  | 
         
                       
  | 
                 
              
             
	     
             
            
              
                
                  
P2-pentue (synt. 14.4.2022)Käytin Taigahaun Pakkaspeikon Polkkaa eli Rihtua alunperin Bellalle, mutta astutus tapahtui progesteronitestin mukaan ihan viime tippaan eikä pentuja sillä kertaa tullut. Uutta yritystä ei koskaan päästy kokeilemaan, koska Bella jouduttiin steriloimaan kohtutulehduksen takia ennen seuraavaa juoksuaan. Onneksi Rihtu sopi myös Almalle, joten pääsin kuin pääsinkin lopulta käyttämään tätä sukutaulultaan hieman harvinaisempaa ja kaikin puolin hyvää urosta. Alma osoittautui Sylvi-emänsä veroiseksi erinomaiseksi synnyttäjäksi ja emäksi. Pentueen hoiti Sylvin pentuiden tapaan alusta loppuun Matleenan perhe oman osuuteni jäädessä lähinnä pentujen ihasteluun ja rekisteröintiin. Toinen narttupennuista meni Norjaan. 
         
          | Nimi | 
          Silmät | 
          Lonkat | 
          Kyynär- nivelet | 
          Polvet | 
          Sydän | 
          prcd- PRA | 
          Pompen tauti | 
          Jälkeläiset | 
          Muuta | 
         
          
          i. Taigahaun Pakkaspeikon Polkka KoiraNet | 
          OK 03/24 | 
          A/A | 
          0/0 | 
          - | 
          - | 
          Terve | 
          Terve  (epävir. tulos) | 
          5 pentuetta/ 22 jälkeläistä | 
          - Degeneratiivinen myelopatia (DM): terve
 
  | 
         
	
          e. Cantavia Riekonmarja Oma sivu - KoiraNet | 
          OK 01/23 | 
          C/C | 
          0/0 | 
          0/0 | 
          Ei sivu- ääniä 09/20 | 
          Terve | 
          Terve  vanh. perust. | 
          3 pentuetta/ 13 jälkeläistä | 
          - Degeneratiivinen myelopatia (DM): terve
 
  | 
         
          Cantavia Peikkopoika ♂ Oma sivu - KoiraNet | 
          OK 01/24 | 
          D/B | 
          0/0 | 
          0/0 | 
          - | 
          Terve  vanh. perust. | 
          - | 
          - | 
          - Degeneratiivinen myelopatia (DM): terve vanhempien perusteella
 
  | 
         
          Cantavia Pelimanni ♂ Oma sivu - KoiraNet | 
          - | 
          B/B | 
          0/0 | 
          - | 
          - | 
          Terve  vanh. perust. | 
          - | 
          - | 
          - Välimuotoinen
  lanne-ristinikama LTV0 (normaali)
 
- Selän spondyloosi SP0 (puhdas)
 
- Nikamien epämuotoisuus VA0 (normaali)
 - Degeneratiivinen myelopatia (DM): terve vanhempien perusteella
 
  | 
                       
          Cantavia Piippurassi ♂ Oma sivu - KoiraNet | 
          - | 
          - | 
          - | 
          - | 
          - | 
          Terve  vanh. perust. | 
          - | 
          - | 
          - Degeneratiivinen myelopatia (DM): terve vanhempien perusteella
 
  | 
                       
          Cantavia Pakkasaamu ♀ Oma sivu - KoiraNet -  Dogweb | 
          OK 11/23 | 
          A/A | 
          - | 
          - | 
          - | 
          Terve  vanh. perust. | 
          - | 
          1 pentue/ 6 jälkeläistä | 
          - Viety Norjaan
 - Degeneratiivinen myelopatia (DM): terve vanhempien perusteella
 
  | 
         
        PAIM-T Cantavia Polkkakarkki ♀ Oma sivu - KoiraNet | 
          OK 01/25 | 
          A/A | 
          0/0 | 
          0/0 | 
          Ei sivu- ääniä 01/25 | 
          Terve  vanh. perust. | 
          Terve  (epävir. tulos) | 
          1 pentue/ 4 jälkeläistä | 
          - Välimuotoinen
  lanne-ristinikama LTV1 (jakautunut ristiluun keskiharjanne (s1-s2) tai muu lievästi normaalista poikkeava rakenne)
 - Nikamien epämuotoisuus VA0 (normaali)
 - Selkäkuvat: 1, 2 ja 3
 - Olkanivelten osteokondroosi: Ei todettu/Ei todettu
 - Degeneratiivinen myelopatia (DM): terve vanhempien perusteella
 - ift122-PRA: terve (epävirallinen Embark-tulos)
 - Canine multifocal retinopathy (CMR): terve (epävirallinen Embark-tulos)
 - Geneettinen sukusiitosprosentti 10 % (Embark)
 - Perinteisen lammaspaimennuksen taipumuskoe hyväksytty 2024
 - Luonnetesti +155 pistettä/laukausvarma
 - Jalostustarkastettu
 
  | 
         
                       
  | 
                 
              
             
    
    
             
             
            
              
                
                  
T3-pentue (synt. 5.5.2023)Loihakka Lokan Rauta-airo eli Joiku valikoitui Almalle hieman lennosta, kun alkuperäinen astutussuunnitelma ei ottanut onnistuakseen, mutta kun olin Joikua pariin sen aiempaan pentueeseen isäksi ehdottanut, niin olin iloinen että pääsin sitä itsekin lopulta käyttämään! Joikun sukutaulu kun ei ole ihan yleisimmästä päästä ja sen aiempien jälkeläisten luustokuvatulokset ovat olleet varsin hyviä. Kuten edellisen pentueensa, myös tämän Alma hoiteli oikein mallikkaasti, tälläkin kertaa Matleenan perheen avustuksella. 
         
          | Nimi | 
          Silmät | 
          Lonkat | 
          Kyynär- nivelet | 
          Polvet | 
          Sydän | 
          prcd- PRA | 
          Pompen tauti | 
          Jälkeläiset | 
          Muuta | 
         
          
          i. Loihakka Lokan Rauta-airo KoiraNet | 
          OK 11/22 | 
          A/B | 
          0/0 | 
          0/0 | 
          - | 
          Terve  vanh. perust. | 
          Terve  vanh. perust. | 
          5 pentuetta/ 24 jälkeläistä | 
           | 
         
	
          e. Cantavia Riekonmarja Oma sivu - KoiraNet | 
          OK 01/23 | 
          C/C | 
          0/0 | 
          0/0 | 
          Ei sivu- ääniä 09/20 | 
          Terve | 
          Terve  vanh. perust. | 
          3 pentuetta/ 13 jälkeläistä | 
          - Degeneratiivinen myelopatia (DM): terve
 
  | 
         
          Cantavia Tervastuli ♂ Oma sivu - KoiraNet | 
          - | 
          C/C | 
          0/0 | 
          0/0 | 
          - | 
          Terve  vanh. perust. | 
          Terve  vanh. perust. | 
          - | 
          - Degeneratiivinen myelopatia (DM): terve vanhempien perusteella
 
  | 
         
          Cantavia Tervasnapsi ♂ Oma sivu - KoiraNet | 
          - | 
          A/B | 
          0/0 | 
          - | 
          - | 
          Terve  vanh. perust. | 
          Terve  vanh. perust. | 
          - | 
          - Degeneratiivinen myelopatia (DM): terve vanhempien perusteella
 - Välimuotoinen
  lanne-ristinikama LTV0 (normaali)
 
- Nikamien epämuotoisuus VA0 (normaali)
 - Selkäkuvat: 1, 2 ja 3
 
  | 
                                    
          Cantavia Teerenpeli ♀ Oma sivu - KoiraNet | 
          - | 
          B/B | 
          0/0 | 
          0/0 | 
          - | 
          Terve  vanh. perust. | 
          Terve  vanh. perust. | 
          - | 
          - Degeneratiivinen myelopatia (DM): terve vanhempien perusteella
 - Välimuotoinen
  lanne-ristinikama LTV0 (normaali)
 
- Nikamien epämuotoisuus VA0 (normaali)
 - Selkäkuvat: 1, 2, 3, 4 ja 5
 
  | 
         
        Cantavia Teerenpilkku ♀ Oma sivu - KoiraNet | 
          - | 
          - | 
          - | 
          - | 
          - | 
          Terve  vanh. perust. | 
          Terve  vanh. perust. | 
          - | 
          - Degeneratiivinen myelopatia (DM): terve vanhempien perusteella
 
  | 
         
                       
  | 
                 
              
             
    
    
             
             
            
              
                
                  
K4-pentue (synt. 28.1.2024)Jo Kerttua hankkiessani ajatuksena oli, että käyttäisin sille mieluusti jotain omaa kasvattiani. Melko aikaisessa vaiheessa päätin, että jos Kertun terveystutkimustulokset ovat sopivat, käytän sille Pessiä, jonka jälkeläisistä olin haaveillut jo pitemmän aikaa. Pentue on ensimmäinen viidennen sukupolven Cantavia-pentue, ja kaikki sujui erinomaisesti aina astutuksesta pentujen luovutukseen - toivotaan pentueelle yhtä hyvää jatkoakin! 
         
          | Nimi | 
          Silmät | 
          Lonkat | 
          Kyynär- nivelet | 
          Polvet | 
          Sydän | 
          prcd- PRA | 
          Pompen tauti | 
          Jälkeläiset | 
          Muuta | 
         
          
          i. Cantavia Iltavilli KoiraNet | 
          OK 11/23 | 
          B/B | 
          0/0 | 
          0/0 | 
          - | 
          Terve  vanh. perust. | 
          - | 
          3 pentuetta/ 13 jälkeläistä | 
          - Lievää löysyyttä lonkkanivelissä
 - Degeneratiivinen myelopatia (DM): terve
 
  | 
         
	
          e. Peppiinan Kuunkerttu ♀ Oma sivu - KoiraNet | 
          OK 11/23 | 
          B/B | 
          0/0 | 
          0/0 | 
          Ei sivu- ääniä 11/23 | 
          Terve  vanh. perust. | 
          Terve  vanh. perust. | 
          1 pentue/ 5 jälkeläistä | 
          - Degeneratiivinen myelopatia (DM):
	    terve vanhempien perusteella
 - Yksi P3-hammas ylhäältä puuttuu
 - Välimuotoinen
  lanne-ristinikama LTV0 (normaali)
 
- Nikamien epämuotoisuus VA0 (normaali)
 - Selkäkuvat: 1, 2 ja 3
 - Gonioskopia: ei todettu kammiokulman poikkeavuuksia (11/23)
 
  | 
         
          Cantavia Kairankutsu ♂ Oma sivu - KoiraNet | 
          - | 
          - | 
          - | 
          - | 
          - | 
          Terve  vanh. perust. | 
          - | 
          - | 
          - Degeneratiivinen myelopatia (DM): terve vanhempien perusteella
 
  | 
         
        Cantavia Kaskisavu ♂ Oma sivu - KoiraNet | 
          - | 
          - | 
          - | 
          - | 
          - | 
          Terve  vanh. perust. | 
          - | 
          - | 
          - Degeneratiivinen myelopatia (DM): terve vanhempien perusteella
 
  | 
         
          Cantavia Kermanekku ♂ Oma sivu - KoiraNet | 
          - | 
          - | 
          - | 
          - | 
          - | 
          Terve  vanh. perust. | 
          - | 
          - | 
          - Degeneratiivinen myelopatia (DM): terve vanhempien perusteella
 
  | 
                                    
          Cantavia Kuunlilja ♀ Oma sivu - KoiraNet | 
          - | 
          - | 
          - | 
          - | 
          - | 
          Terve  vanh. perust. | 
          - | 
          - | 
          - Degeneratiivinen myelopatia (DM): terve vanhempien perusteella
 
  | 
         
        Cantavia Kuurankukka ♀ Oma sivu - KoiraNet | 
          - | 
          - | 
          - | 
          - | 
          - | 
          Terve  vanh. perust. | 
          - | 
          - | 
          - Degeneratiivinen myelopatia (DM): terve vanhempien perusteella
 
  | 
         
                       
  | 
                 
              
             
    
    
             
             	    
	    
            
              
                
                  
O-pentue (synt. 10.4.2024)Alma päädyttiin astuttamaan vielä kolmannen kerran, kun sen omistajaperhe toivoi itselleen Alman jälkeläistä. Urosvalinta osui Hiittanan Kodaan, joka sopi Almalle hyvin sekä sukutaulunsa, terveystulostensa, luonteensa että ulkomuotonsa puolesta. Kahden edellisen pentueen tapaan kaikki sujui moitteettomasti aina astutuksesta alkaen Alman kotiväen hoitaessa homman jo rutiinilla. Oravanmarja eli Armi jäi siis synnyinkotiinsa ja jatkaa mahdollisesti aikanaan sukuaan. Onnenapila puolestaan on muuttanut Ruotsiin potentiaaliseksi jalostuskoiraksi. 
         
          | Nimi | 
          Silmät | 
          Lonkat | 
          Kyynär- nivelet | 
          Polvet | 
          Sydän | 
          prcd- PRA | 
          Pompen tauti | 
          Jälkeläiset | 
          Muuta | 
         
          
          i. Hiittanan Koda KoiraNet | 
          OK 11/23 (iris-iris PPM) | 
          A/A | 
          0/0 | 
          - | 
          - | 
          Terve  vanh. perust. | 
          Terve  vanh. perust. | 
          1 pentue/ 4 jälkeläistä | 
          - Välimuotoinen
  lanne-ristinikama LTV0 (normaali)
 
- Nikamien epämuotoisuus VA0 (normaali)
 
  | 
         
	
          e. Cantavia Riekonmarja Oma sivu - KoiraNet | 
          OK 01/23 | 
          C/C | 
          0/0 | 
          0/0 | 
          Ei sivu- ääniä 09/20 | 
          Terve | 
          Terve  vanh. perust. | 
          3 pentuetta/ 13 jälkeläistä | 
          - Degeneratiivinen myelopatia (DM): terve
 
  | 
         
          Cantavia Onnenapila ♂ Oma sivu - KoiraNet - Hunddata | 
          - | 
          - | 
          - | 
          - | 
          - | 
          Terve  vanh. perust. | 
          Terve  vanh. perust. | 
          - | 
           | 
         
          Cantavia Osmankäämi ♂ Oma sivu - KoiraNet | 
          - | 
          - | 
          - | 
          - | 
          - | 
          Terve  vanh. perust. | 
          Terve  vanh. perust. | 
          - | 
            | 
                                    
          Cantavia Olkikukka ♀ Oma sivu - KoiraNet | 
          - | 
          - | 
          - | 
          - | 
          - | 
          Terve  vanh. perust. | 
          Terve  vanh. perust. | 
          - | 
            | 
         
        Cantavia Oravanmarja ♀ Oma sivu - KoiraNet | 
          - | 
          - | 
          - | 
          - | 
          - | 
          Terve  vanh. perust. | 
          Terve  vanh. perust. | 
          - | 
            | 
         
                       
  | 
                 
              
             
    
             
                 
    
    
            
              
                
                  | Omistamani ja kasvattamani muunrotuiset koirat | 
                 
                
                  
        
          | Nimi | 
          Silmät | 
          Lonkat | 
          Kyynär- nivelet | 
          Polvet | 
          Sydän | 
          Jälkeläiset | 
          Muuta | 
         
        
          amerikancockerspanieli FI MVA Galaksi
	    Dream Images ♂ Oma sivu - KoiraNet | 
          OK 11/05 | 
          B/B | 
          - | 
          - | 
          - | 
          2 pentuetta/ 10 jälkeläistä | 
          - Tanskan
	    tuonti
 - Hiivatulehduksia korvissa ja
	    käpälissä
 - Kuollut 11/08 (8 v 11 kk iässä)
 
  | 
         
        
          kiinanharjakoira C.I.B & POHJ
	    & FI & NO & DK MVA JV-02 V-02 JMV-03 
PMV-04 Secret Line's Homemade Hotdog ♂ Oma sivu - KoiraNet | 
          Linssiluksaatio & kortikaalinen katarakta
	    epäilyttävä 09/08 | 
          - | 
          - | 
          0/0 | 
          - | 
          14 pentuetta/ 60 jälkeläistä | 
          - Kaksi pentuetta Ruotsissa
 - Sairasti eturauhassyöpää, lopetettu 09/10 (8 v 8
kk iässä)
 
  | 
         
	
          faaraokoira C.I.B & FI & SE & EE MVA EUJV-05 
Siphra's Back-Door Angel ♀ Oma sivu - KoiraNet | 
          MRD  03/08 | 
          B/B | 
          - | 
          0/0 | 
          - | 
          1 pentue/ 4 jälkeläistä | 
          - Kilpailukirjat rata- ja
	    maastojuoksukilpailuihin
 - Yksi kaularangan
	    nikamaväleistä kaventunut, mahdollinen
	    välilevytyrä
 - Kohtutulehdus ja anemia, lopetettu 11/15 (11 v 7
kk iässä)
 
  | 
         
	
          kääpiösnautseri (m-h) 
Cantavia Absolutely Fabulous ♀ Oma sivu - KoiraNet | 
          OK 10/05 | 
          - | 
          - | 
          - | 
          - | 
          - | 
            | 
         
	
          kääpiösnautseri (m-h) 
Cantavia Alive n' Kickin ♀ Oma sivu - KoiraNet | 
          - | 
          - | 
          - | 
          - | 
          - | 
          - | 
            | 
         
	
          kääpiösnautseri (m-h) 
Cantavia All about Eve ♀ Oma sivu - KoiraNet | 
          OK 10/05 | 
          - | 
          - | 
          - | 
          - | 
          - | 
            | 
         
	
          kääpiösnautseri (m-h) 
Cantavia Almost an Angel ♀ Oma sivu - KoiraNet | 
          - | 
          - | 
          - | 
          - | 
          - | 
          - | 
            | 
         
       
  | 
                 
              
             
             
             
            
             | 
           
        
       
       | 
        |